For quotations, please use our online quotation form, and you may also contact us by
sales@neoscientific.com
+1-888.733.6849
+1-617.299.7367 (Int’l)
+1-888.733.6849
+1-617.299.7367 (Int’l)
| Reactivity | Human Mouse Rat |
| Tested applications | WB IHC IF |
| Recommended Dilution | WB 1:500 - 1:2000 IHC 1:50 - 1:200 IF 1:50 - 1:100 |
| Calculated MW | 47kDa |
| Observed MW | Refer to figures |
| Immunogen | Recombinant protein of human ACTL6B |
| Storage Buffer | Store at -20℃. Avoid freeze / thaw cycles. Buffer: PBS with 0.02% sodium azide, 50% glycerol, pH7.3. |
| Synonym | ACTL6; BAF53B; |

Western blot analysis of extracts of various cell lines, using ACTL6B antibody.

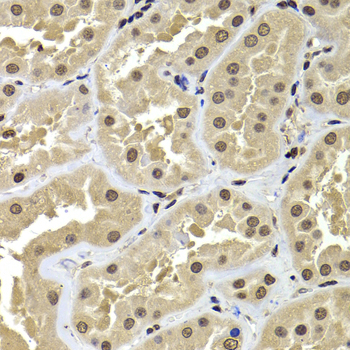
Immunohistochemistry of paraffin-embedded human kidney using ACTL6B antibody at dilution of 1:100 (x400 lens).

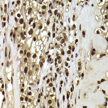
Immunohistochemistry of paraffin-embedded human kidney cancer using ACTL6B antibody at dilution of 1:100 (x400 lens).

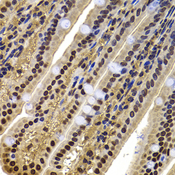
Immunohistochemistry of paraffin-embedded mouse jejunum using ACTL6B antibody at dilution of 1:100 (x400 lens).

Immunofluorescence analysis of A549 cell using ACTL6B antibody.
The protein encoded by this gene is a member of a family of actin-related proteins (ARPs) which share significant amino acid sequence identity to conventional actins. Both actins and ARPs have an actin fold, which is an ATP-binding cleft, as a common feature. The ARPs are involved in diverse cellular processes, including vesicular transport, spindle orientation, nuclear migration and chromatin remodeling. This gene encodes a subunit of the BAF (BRG1/brm-associated factor) complex in mammals, which is functionally related to SWI/SNF complex in S. cerevisiae and Drosophila; the latter is thought to facilitate transcriptional activation of specific genes by antagonizing chromatin-mediated transcriptional repression. This subunit may be involved in the regulation of genes by structural modulation of their chromatin, specifically in the brain.
N/A