ADCYAP1R1-Polyclonal Antibodies

our services
our products
Quotations & Ordering:

For quotations, please use our online quotation form, and you may also contact us by

sales@neoscientific.com

Phone:

+1-888.733.6849
+1-617.299.7367 (Int’l)

Fax:

+1-888.733.6849
+1-617.299.7367 (Int’l)

Our customer service representatives are available 24 hours, Monday through Friday to assist you.

ADCYAP1R1

Qty


Total
$220
Catalog #
A3120
Antibody Type
Polyclonal Antibody
Gene ID
117
Swiss Prot
P41586
Size
Species
Rabbit
Isotype
IgG
Purity
Affinity purification
Additional Information
ReactivityHuman Mouse Rat
Tested applicationsWB IHC
Recommended DilutionWB 1:500 - 1:2000 IHC 1:50 - 1:200
Calculated MW53kDa
Observed MWRefer to Figures
ImmunogenA synthetic peptide of human ADCYAP1R1
Storage BufferStore at -20℃. Avoid freeze / thaw cycles. Buffer: PBS with 0.02% sodium azide, 50% glycerol, pH7.3.
SynonymPAC1;PAC1R;PACAPR; PACAPRI;
Images
  • A3120: image 1

    Western blot analysis of extracts of various cells, using ADCYAP1R1 antibody.

  • A3120: image 2

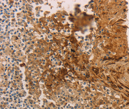
    Immunohistochemistry of paraffin-embedded human tonsil tissue using ADCYAP1R1 antibody.

  • A3120: image 3

    Immunohistochemistry of paraffin-embedded mouse brain using ADCYAP1R1 antibody at dilution of 1:200 (x40 lens).

Background

This gene encodes type I adenylate cyclase activating polypeptide receptor, which is a membrane-associated protein and shares significant homology with members of the glucagon/secretin receptor family. This receptor mediates diverse biological actions of adenylate cyclase activating polypeptide 1 and is positively coupled to adenylate cyclase. Multiple alternatively spliced transcript variants encoding distinct isoforms have been identified.

Protocol

N/A

MSDS
Reviews
Neo Scientific welcomes feedback from its customers.

If you have used an our product and would like to share how it has performed, please click on the "Submit Review" button and provide the requested information.

If you have any additional inquiries please email technical services at info@neobiolab.com.

Thank you for your support.

promotions

Image

Custom Monoclonal Antibody
MassAb Technologies
Image
Free Trial Custom Polyclonal Antibody
You will receive free purified antibodies for validation
Image
Custom Peptides Synthesis

Start from $40/each

new technologies

Image
Optimized for enhanced
expression levels
XPromoter 2.0
Image
E.coli/insect cells/293 & CHO

3 in 1 expression system
Image
MassAb Technologies

Cover All Epitopes