AKR1C3-Polyclonal Antibodies

our services
our products
Quotations & Ordering:

For quotations, please use our online quotation form, and you may also contact us by

sales@neoscientific.com

Phone:

+1-888.733.6849
+1-617.299.7367 (Int’l)

Fax:

+1-888.733.6849
+1-617.299.7367 (Int’l)

Our customer service representatives are available 24 hours, Monday through Friday to assist you.

AKR1C3

Qty


Total
$220
Catalog #
A1781
Antibody Type
Polyclonal Antibody
Gene ID
8644
Swiss Prot
P42330
Size
Species
Rabbit
Isotype
IgG
Purity
Affinity purification
Additional Information
ReactivityHuman Mouse Rat
Tested applicationsWB IHC
Recommended DilutionWB 1:500 - 1:2000 IHC 1:50 - 1:200
Calculated MW37kDa
Observed MWRefer to Figures
ImmunogenRecombinant protein of human AKR1C3
Storage BufferStore at -20℃. Avoid freeze / thaw cycles. Buffer: PBS with 0.02% sodium azide, 50% glycerol, pH7.3.
SynonymDD3; DDX; HA1753; HAKRB; HAKRe; HSD17B5; KIAA0119; hluPGFS;
Images
  • A1781: image 1

    Western blot analysis of extracts of various cell line, using AKR1C3 antibody.

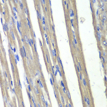
  • A1781: image 2

    Immunohistochemistry of paraffin-embedded rat heart using AKR1C3 antibody at dilution of 1:100 (400x lens).

Background

AKR1C3(Aldo-keto reductase family 1 member C3) is also named as DDH1, HSD17B5, KIAA0119, PGFS and belongsi to AKR1C family. .In humans, at least four AKR1C isoforms exist: AKR1C1, AKR1C2, AKR1C3, AKR1C4 and AKR1C3 shares >86% sequence identity with these three highly related human AKRs(PMID:18574251). It catalyzes the conversion of aldehydes and ketones to alcohols and androgen, estrogen, PG, xenobiotics metabolism. The rat kidney possesses a dimeric form of 75 kDa(PMID:18574251).

Protocol

N/A

MSDS
Reviews
Neo Scientific welcomes feedback from its customers.

If you have used an our product and would like to share how it has performed, please click on the "Submit Review" button and provide the requested information.

If you have any additional inquiries please email technical services at info@neobiolab.com.

Thank you for your support.

promotions

Image

Custom Monoclonal Antibody
MassAb Technologies
Image
Free Trial Custom Polyclonal Antibody
You will receive free purified antibodies for validation
Image
Custom Peptides Synthesis

Start from $40/each

new technologies

Image
Optimized for enhanced
expression levels
XPromoter 2.0
Image
E.coli/insect cells/293 & CHO

3 in 1 expression system
Image
MassAb Technologies

Cover All Epitopes