For quotations, please use our online quotation form, and you may also contact us by
sales@neoscientific.com
+1-888.733.6849
+1-617.299.7367 (Int’l)
+1-888.733.6849
+1-617.299.7367 (Int’l)
| Reactivity | Human Mouse Rat |
| Tested applications | WB IHC IF |
| Recommended Dilution | WB 1:500 - 1:2000 IHC 1:50 - 1:200 IF 1:50 - 1:200 |
| Calculated MW | 28kDa |
| Observed MW | Refer to Figures |
| Immunogen | Recombinant protein of human ANP32A |
| Storage Buffer | Store at -20℃. Avoid freeze / thaw cycles. Buffer: PBS with 0.02% sodium azide, 50% glycerol, pH7.3. |
| Synonym | LANP; MAPM; PP32; HPPCn; PHAP1; PHAPI; I1PP2A; C15orf1; |

Western blot analysis of extracts of various cell lines, using ANP32A antibody.

Immunohistochemistry of paraffin-embedded Human adenomyosis using ANP32A antibody at dilution of 1:100 (x400 lens).

Immunohistochemistry of paraffin-embedded Human amygdalitis using ANP32A antibody at dilution of 1:100 (x400 lens).

Immunohistochemistry of paraffin-embedded Human B cell lymphoma using ANP32A antibody at dilution of 1:100 (x400 lens).

Immunohistochemistry of paraffin-embedded Human gastric using ANP32A antibody at dilution of 1:100 (x400 lens).

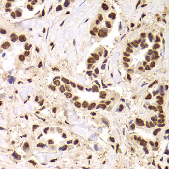
Immunohistochemistry of paraffin-embedded Human gastric cancer using ANP32A antibody at dilution of 1:100 (x400 lens).

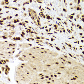
Immunohistochemistry of paraffin-embedded Human leiomyoma of uterus using ANP32A antibody at dilution of 1:100 (x400 lens).

Immunohistochemistry of paraffin-embedded Human liver injury using ANP32A antibody at dilution of 1:100 (x400 lens).

Immunohistochemistry of paraffin-embedded Human mammary cancer using ANP32A antibody at dilution of 1:100 (x400 lens).

Immunohistochemistry of paraffin-embedded liver cancer using ANP32A antibody at dilution of 1:100 (x400 lens).

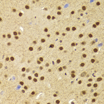
Immunohistochemistry of paraffin-embedded Mouse brain using ANP32A antibody at dilution of 1:100 (x400 lens).

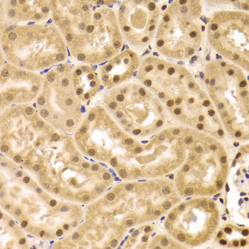
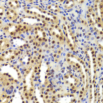
Immunohistochemistry of paraffin-embedded Mouse kidney using ANP32A antibody at dilution of 1:100 (x400 lens).

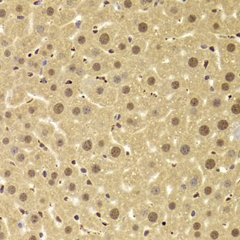
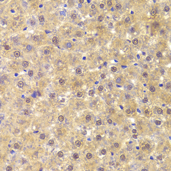
Immunohistochemistry of paraffin-embedded Mouse liver using ANP32A antibody at dilution of 1:100 (x400 lens).

Immunohistochemistry of paraffin-embedded Rat kidney using ANP32A antibody at dilution of 1:100 (x400 lens).

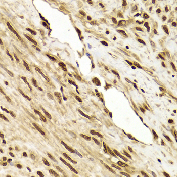
Immunohistochemistry of paraffin-embedded Rat liver using ANP32A antibody at dilution of 1:100 (x400 lens).

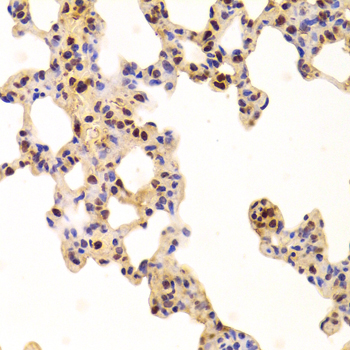
Immunohistochemistry of paraffin-embedded Rat lung using ANP32A antibody at dilution of 1:100 (x400 lens).

Immunofluorescence analysis of A549 cell using ANP32A antibody. Blue: DAPI for nuclear staining.

Immunofluorescence analysis of HeLa cell using ANP32A antibody.
N/A