APLP2-Polyclonal Antibodies

our services
our products
Quotations & Ordering:

For quotations, please use our online quotation form, and you may also contact us by

sales@neoscientific.com

Phone:

+1-888.733.6849
+1-617.299.7367 (Int’l)

Fax:

+1-888.733.6849
+1-617.299.7367 (Int’l)

Our customer service representatives are available 24 hours, Monday through Friday to assist you.

APLP2

Qty


Total
$220
Catalog #
A5455
Antibody Type
Polyclonal Antibody
Gene ID
334
Swiss Prot
Q06481
Size
Species
Rabbit
Isotype
IgG
Purity
Affinity purification
Additional Information
ReactivityHuman Mouse Rat
Tested applicationsWB IHC IF
Recommended DilutionWB 1:500 - 1:2000 IHC 1:50 - 1:200 IF 1:20 - 1:50
Calculated MW87kDa
Observed MWRefer to Figures
ImmunogenRecombinant protein of human APLP2
Storage BufferStore at -20℃. Avoid freeze / thaw cycles. Buffer: PBS with 0.02% sodium azide, 50% glycerol, pH7.3.
SynonymAPPH; APPL2; CDEBP; APLP-2
Images
  • A5455: image 1

    Western blot analysis of extracts of various cell lines, using APLP2 antibody.

  • A5455: image 2

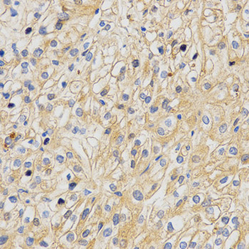
    Immunohistochemistry of paraffin-embedded human kidney using APLP2 antibody at dilution of 1:200 (x400 lens)

  • A5455: image 3

    Immunofluorescence analysis of U20S cell using APLP2 antibody. Blue: DAPI for nuclear staining.

Background

This gene encodes amyloid precursor- like protein 2 (APLP2), which is a member of the APP (amyloid precursor protein) family including APP, APLP1 and APLP2. This protein is ubiquitously expressed. It contains heparin-, copper- and zinc- binding domains at the N-terminus, BPTI/Kunitz inhibitor and E2 domains in the middle region, and transmembrane and intracellular domains at the C-terminus. This protein interacts with major histocompatibility complex (MHC) class I molecules. The synergy of this protein and the APP is required to mediate neuromuscular transmission, spatial learning and synaptic plasticity. This protein has been implicated in the pathogenesis of Alzheimer's disease. Multiple alternatively spliced transcript variants encoding different isoforms have been identified.

Protocol

N/A

MSDS
Reviews
Neo Scientific welcomes feedback from its customers.

If you have used an our product and would like to share how it has performed, please click on the "Submit Review" button and provide the requested information.

If you have any additional inquiries please email technical services at info@neobiolab.com.

Thank you for your support.

promotions

Image

Custom Monoclonal Antibody
MassAb Technologies
Image
Free Trial Custom Polyclonal Antibody
You will receive free purified antibodies for validation
Image
Custom Peptides Synthesis

Start from $40/each

new technologies

Image
Optimized for enhanced
expression levels
XPromoter 2.0
Image
E.coli/insect cells/293 & CHO

3 in 1 expression system
Image
MassAb Technologies

Cover All Epitopes