For quotations, please use our online quotation form, and you may also contact us by
sales@neoscientific.com
+1-888.733.6849
+1-617.299.7367 (Int’l)
+1-888.733.6849
+1-617.299.7367 (Int’l)
| Reactivity | Human Mouse Rat |
| Tested applications | WB IHC |
| Recommended Dilution | WB 1:500 - 1:2000 IHC 1:50 - 1:200 |
| Calculated MW | 63kDa |
| Observed MW | Refer to figures |
| Immunogen | Recombinant protein of human ARID3A |
| Storage Buffer | Store at -20℃. Avoid freeze / thaw cycles. Buffer: PBS with 0.02% sodium azide, 50% glycerol, pH7.3. |
| Concentration | f |
| Synonym | DRIL1; DRIL3; BRIGHT; E2FBP1; |

Western blot analysis of extracts of various cells, using ARID3A antibody.

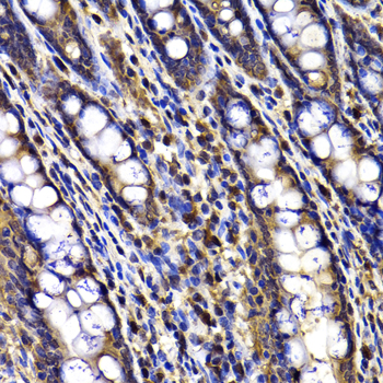
Immunohistochemistry of paraffin-embedded rat ileum using ARID3A antibody at dilution of 1:100 (x40 lens).

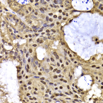
Immunohistochemistry of paraffin-embedded human oophoroma using ARID3A antibody at dilution of 1:100 (x40 lens).

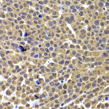
Immunohistochemistry of paraffin-embedded mouse cancer using ARID3A antibody at dilution of 1:100 (x40 lens).
This gene encodes a member of the ARID (AT-rich interaction domain) family of DNA binding proteins. It was found by homology to the Drosophila dead ringer gene, which is important for normal embryogenesis. Other ARID family members have roles in embryonic patterning, cell lineage gene regulation, cell cycle control, transcriptional regulation, and possibly in chromatin structure modification.
N/A