For quotations, please use our online quotation form, and you may also contact us by
sales@neoscientific.com
+1-888.733.6849
+1-617.299.7367 (Int’l)
+1-888.733.6849
+1-617.299.7367 (Int’l)
| Reactivity | Human Mouse Rat |
| Tested applications | WB IHC IF |
| Recommended Dilution | WB 1:500 - 1:2000 IHC 1:50 - 1:200 IF 1:50 - 1:200 |
| Calculated MW | 60kDa |
| Observed MW | Refer to figures |
| Immunogen | Recombinant protein of human ASPSCR1 |
| Storage Buffer | Store at -20℃. Avoid freeze / thaw cycles. Buffer: PBS with 0.02% sodium azide, 50% glycerol, pH7.3. |
| Synonym | TUG; ASPL; ASPS; RCC17; UBXD9; UBXN9; ASPCR1; |

Western blot analysis of extracts of various cell lines, using ASPSCR1 antibody.

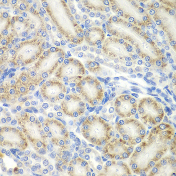
Immunohistochemistry of paraffin-embedded rat kidney using ASPSCR1 antibody at dilution of 1:100 (x400 lens).

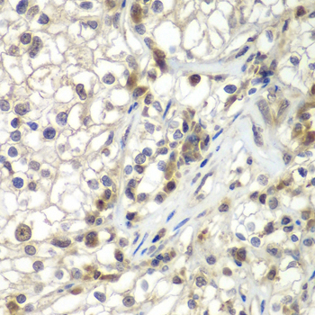
Immunohistochemistry of paraffin-embedded human kidney cancer using ASPSCR1 antibody at dilution of 1:100 (x400 lens).

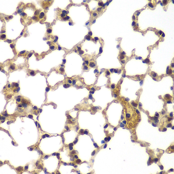
Immunohistochemistry of paraffin-embedded mouse lung using ASPSCR1 antibody at dilution of 1:100 (x400 lens).

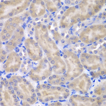
Immunohistochemistry of paraffin-embedded mouse kidney using ASPSCR1 antibody at dilution of 1:100 (x400 lens).

Immunofluorescence analysis of A549 cell using ASPSCR1 antibody. Blue: DAPI for nuclear staining.
The protein encoded by this gene contains a UBX domain and interacts with glucose transporter type 4 (GLUT4). This protein is a tether, which sequesters the GLUT4 in intracellular vesicles in muscle and fat cells in the absence of insulin, and redistributes the GLUT4 to the plasma membrane within minutes of insulin stimulation. Translocation t(X;17)(p11;q25) of this gene with transcription factor TFE3 gene results in a ASPSCR1-TFE3 fusion protein in alveolar soft part sarcoma and in renal cell carcinomas. Multiple alternatively spliced transcript variants have been found.
N/A