BECN1-Polyclonal Antibodies

our services
our products
Quotations & Ordering:

For quotations, please use our online quotation form, and you may also contact us by

sales@neoscientific.com

Phone:

+1-888.733.6849
+1-617.299.7367 (Int’l)

Fax:

+1-888.733.6849
+1-617.299.7367 (Int’l)

Our customer service representatives are available 24 hours, Monday through Friday to assist you.

BECN1

Qty


Total
$220
Catalog #
A0562
Antibody Type
Polyclonal Antibody
Gene ID
8678
Swiss Prot
Q14457
Size
Species
Rabbit
Isotype
IgG
Purity
Affinity purification
Additional Information
ReactivityHuman Mouse Rat
Tested applicationsWB IHC IF IP
Recommended DilutionWB 1:500 - 1:2000 IHC 1:50 - 1:100 IF 1:50 - 1:200 IP 1:20 - 1:50
Calculated MW52kDa
Observed MWRefer to Figures
ImmunogenRecombinant Protein of human BECN1
Storage BufferStore at -20℃. Avoid freeze / thaw cycles. Buffer: PBS with 0.02% sodium azide, 50% glycerol, pH7.3.
SynonymBECN1;ATG6;VPS30;beclin1;
Images
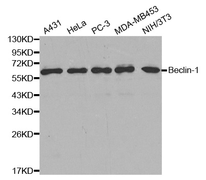
  • A0562: image 1

    Western blot analysis of extracts of various cells, using BECN1 antibody.

  • A0562: image 2

    Immunohistochemistry analysis of paraffin-embedded human colon cancer, using BECN1 antibody.

Background

Autophagy is a catabolic process for the autophagosomic-lysosomal degradation of proteins activated in response to nutrient deprivation and in neurodegenerative conditions (1). One of the proteins critical to this process is Beclin-1, the mammalian orthologue of the yeast autophagy protein Apg6/Vps30 (2). Beclin-1 can complement defects in yeast autophagy caused by loss of Apg6 and can also stimulate autophagy when overexpressed in mammalian cells (3). Mammalian Beclin-1 was originally isolated in a yeast two-hybrid screen for Bcl-2 interacting proteins and has been shown to interact with Bcl-2 and Bcl-xL but not with Bax or Bak (4). While Beclin-1 is generally ubiquitously expressed, it is monoallelically deleted in 40-75% of sporadic human breast and ovarian cancers (5). It is localized within cytoplasmic structures including the mitochondria, although overexpression of Beclin-1 reveals some nuclear staining and CRM1-dependent nuclear export (6). Beclin-1 -/- mice die early in embryogenesis and Beclin-1 -/+ mice have a high incidence of spontaneous tumors. Stem cells from the null mice demonstrate an altered autophagic response although responses to apoptosis appeared normal (7). Overexpression of Beclin-1 in virally infected neurons in vivo resulted in significant protection against Sindbis virus-induced disease and neuronal apoptosis (4).

Protocol

N/A

MSDS
Reviews
Neo Scientific welcomes feedback from its customers.

If you have used an our product and would like to share how it has performed, please click on the "Submit Review" button and provide the requested information.

If you have any additional inquiries please email technical services at info@neobiolab.com.

Thank you for your support.

promotions

Image

Custom Monoclonal Antibody
MassAb Technologies
Image
Free Trial Custom Polyclonal Antibody
You will receive free purified antibodies for validation
Image
Custom Peptides Synthesis

Start from $40/each

new technologies

Image
Optimized for enhanced
expression levels
XPromoter 2.0
Image
E.coli/insect cells/293 & CHO

3 in 1 expression system
Image
MassAb Technologies

Cover All Epitopes