BIRC2-Polyclonal Antibodies

our services
our products
Quotations & Ordering:

For quotations, please use our online quotation form, and you may also contact us by

sales@neoscientific.com

Phone:

+1-888.733.6849
+1-617.299.7367 (Int’l)

Fax:

+1-888.733.6849
+1-617.299.7367 (Int’l)

Our customer service representatives are available 24 hours, Monday through Friday to assist you.

BIRC2

Qty


Total
$220
Catalog #
A0985
Antibody Type
Polyclonal Antibody
Gene ID
329
Swiss Prot
Q13490
Size
Species
Rabbit
Isotype
IgG
Purity
Affinity purification
Additional Information
ReactivityHuman Mouse Rat
Tested applicationsWB IHC IF
Recommended DilutionWB 1:500 - 1:2000 IHC 1:50 - 1:200 IF 1:50 - 1:200
Calculated MW70kDa
Observed MWRefer to Figures
ImmunogenRecombinant protein of human BIRC2
Storage BufferStore at -20℃. Avoid freeze / thaw cycles. Buffer: PBS with 0.02% sodium azide, 50% glycerol, pH7.3.
Concentrationbl
SynonymBIRC2;API1;HIAP2;Hiap-2;MIHB;RNF48;cIAP1 ;
Images
  • A0985: image 1

    Western blot analysis of extracts of various cell lines, using BIRC2 antibody.

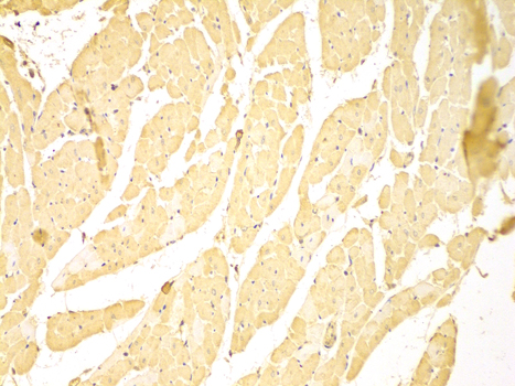
  • A0985: image 2

    Immunohistochemistry of paraffin-embedded rat heart using BIRC2 antibody at dilution of 1:100 (x400 lens).

  • A0985: image 3

    Immunofluorescence analysis of A549 cell using BIRC2 antibody.

Background

The inhibitor of apoptosis protein (IAP) family consists of an evolutionarily conserved group of apoptosis inhibitors containing a conserved 70 amino acid BIR (baculovirus inhibitor repeat) domain (1,2). Human members of this family include c-IAP1, c-IAP2, XIAP, survivin, livin, and NAIP. Overexpression of IAP family members, particularly survivin and livin, in cancer cell lines and primary tumors suggests an important role for these proteins in cancer progression (3-5). In general, the IAP proteins function through direct interactions to inhibit the activity of several caspases, including caspase-3, caspase-7, and caspase-9 (5,6). In addition, binding of IAP family members to the mitochondrial protein Smac blocks their interaction with caspase-9, thereby allowing the processing and activation of the caspase (2).

Protocol

N/A

MSDS
Reviews
Neo Scientific welcomes feedback from its customers.

If you have used an our product and would like to share how it has performed, please click on the "Submit Review" button and provide the requested information.

If you have any additional inquiries please email technical services at info@neobiolab.com.

Thank you for your support.

promotions

Image

Custom Monoclonal Antibody
MassAb Technologies
Image
Free Trial Custom Polyclonal Antibody
You will receive free purified antibodies for validation
Image
Custom Peptides Synthesis

Start from $40/each

new technologies

Image
Optimized for enhanced
expression levels
XPromoter 2.0
Image
E.coli/insect cells/293 & CHO

3 in 1 expression system
Image
MassAb Technologies

Cover All Epitopes