For quotations, please use our online quotation form, and you may also contact us by
sales@neoscientific.com
+1-888.733.6849
+1-617.299.7367 (Int’l)
+1-888.733.6849
+1-617.299.7367 (Int’l)
| Reactivity | Human Mouse Rat |
| Tested applications | WB IHC IF |
| Recommended Dilution | WB 1:500 - 1:2000 IHC 1:50 - 1:200 IF 1:50 - 1:100 |
| Calculated MW | 45kDa |
| Observed MW | Refer to figures |
| Immunogen | Recombinant protein of human BMP15 |
| Storage Buffer | Store at -20℃. Avoid freeze / thaw cycles. Buffer: PBS with 0.02% sodium azide, 50% glycerol, pH7.3. |
| Synonym | ODG2; POF4; GDF9B; |

Western blot analysis of extracts of various cells, using BMP15 antibody.

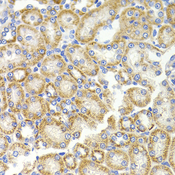
Immunohistochemistry of paraffin-embedded rat kidney using BMP15 antibody at dilution of 1:100 (x40 lens).

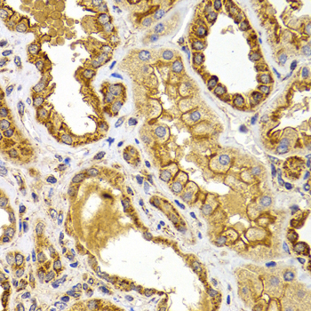
Immunohistochemistry of paraffin-embedded human kidney using BMP15 antibody at dilution of 1:100 (x40 lens).

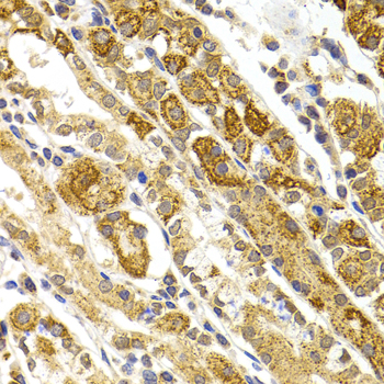
Immunohistochemistry of paraffin-embedded human stomach using BMP15 antibody at dilution of 1:100 (x40 lens).

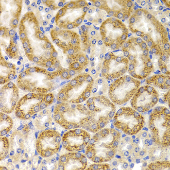
Immunohistochemistry of paraffin-embedded mouse kidney using BMP15 antibody at dilution of 1:100 (x40 lens).
The protein encoded by this gene is a member of the bone morphogenetic protein family which is part of the transforming growth factor-beta superfamily. The transforming growth factor-beta superfamily includes large families of growth and differentiation factors. It is thought that this protein may be involved in oocyte maturation and follicular development as a homodimer or by forming heterodimers with a related protein, Gdf9. Defects in this gene are the cause of ovarian dysgenesis 2.
N/A