BUB1B-Polyclonal Antibodies

our services
our products
Quotations & Ordering:

For quotations, please use our online quotation form, and you may also contact us by

sales@neoscientific.com

Phone:

+1-888.733.6849
+1-617.299.7367 (Int’l)

Fax:

+1-888.733.6849
+1-617.299.7367 (Int’l)

Our customer service representatives are available 24 hours, Monday through Friday to assist you.

BUB1B

Qty


Total
$220
Catalog #
A1775
Antibody Type
Polyclonal Antibody
Gene ID
701
Swiss Prot
O60566
Size
Species
Rabbit
Isotype
IgG
Purity
Affinity purification
Additional Information
ReactivityHuman Mouse Rat
Tested applicationsWB IHC
Recommended DilutionWB 1:500 - 1:2000 IHC 1:50 - 1:200
Calculated MW120kDa
Observed MWRefer to Figures
ImmunogenRecombinant protein of human BUB1B
Storage BufferStore at -20℃. Avoid freeze / thaw cycles. Buffer: PBS with 0.02% sodium azide, 50% glycerol, pH7.3.
Concentrationb
SynonymBUB1beta; BUBR1; Bub1A; MAD3L; SSK1; hBUBR1;
Images
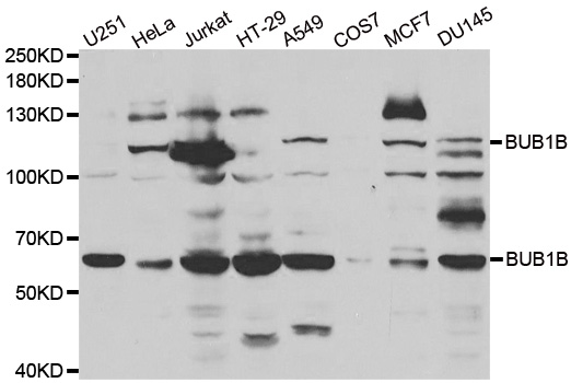
  • A1775: image 1

    Western blot analysis of extracts of various cell lines, using BUB1B antibody.

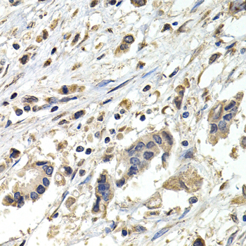
  • A1775: image 2

    Immunohistochemistry of paraffin-embedded human breast cancer using BUB1B antibody at dilution of 1:200 (400x lens).

Background

The Mitotic Checkpoint Complex (MCC), which contains Bub1, Bub1b, Bub3, Mad2, and Cdc20, controls chromosome segregation and monitors kinetochore-microtubule interactions (1). During mitosis, the MCC complex inhibits the ubiquitin ligase activity of the Anaphase Promoting Complex/Cyclosome (APC/C), thereby preventing cells with unaligned chromosomes from prematurely entering anaphase (2). Research studies have shown that Bub1b and Bub1 kinases are mutated in several types of human malignancies including hematopoietic, colorectal, lung, and breast cancers (3). Biallelic mutations in Bub1b have been found in mosaic variegated aneuploidy syndrome and premature chromatid separation syndrome (4). Bub1b mouse germline knockouts are embryonic lethal with heterozygous animals displaying genetic instability, early aging phenotypes, and increased cancer susceptibility (5). Bub3 binds both Bub1 and Bub1b, facilitating their recruitment to kinetochores (6), and is required for functional microtubule-kinetochore interactions (7).

Protocol

N/A

MSDS
Reviews
Neo Scientific welcomes feedback from its customers.

If you have used an our product and would like to share how it has performed, please click on the "Submit Review" button and provide the requested information.

If you have any additional inquiries please email technical services at info@neobiolab.com.

Thank you for your support.

promotions

Image

Custom Monoclonal Antibody
MassAb Technologies
Image
Free Trial Custom Polyclonal Antibody
You will receive free purified antibodies for validation
Image
Custom Peptides Synthesis

Start from $40/each

new technologies

Image
Optimized for enhanced
expression levels
XPromoter 2.0
Image
E.coli/insect cells/293 & CHO

3 in 1 expression system
Image
MassAb Technologies

Cover All Epitopes