For quotations, please use our online quotation form, and you may also contact us by
sales@neoscientific.com
+1-888.733.6849
+1-617.299.7367 (Int’l)
+1-888.733.6849
+1-617.299.7367 (Int’l)
| Reactivity | Human Mouse |
| Tested applications | WB IHC |
| Recommended Dilution | WB 1:500 - 1:2000 IHC 1:50 - 1:200 |
| Calculated MW | 116kDa |
| Observed MW | Refer to figures |
| Immunogen | Recombinant protein of human CARD10 |
| Storage Buffer | Store at -20℃. Avoid freeze / thaw cycles. Buffer: PBS with 0.02% sodium azide, 50% glycerol, pH7.3. |
| Synonym | BIMP1; CARMA3; |

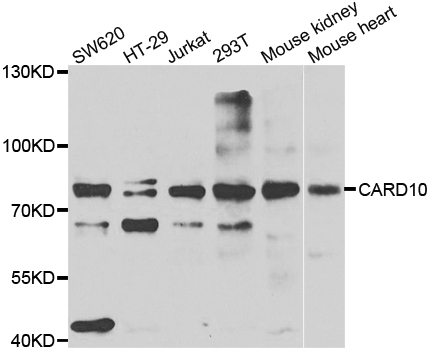
Western blot analysis of extracts of various cell lines, using CARD10 antibody.

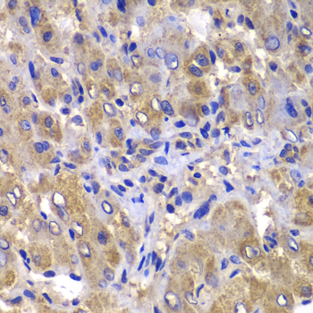
Immunohistochemistry of paraffin-embedded human liver injury using CARD10 antibody at dilution of 1:100 (x400 lens).

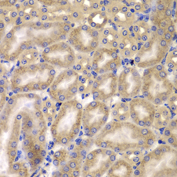
Immunohistochemistry of paraffin-embedded mouse kidney using CARD10 antibody at dilution of 1:100 (x400 lens).
The caspase recruitment domain (CARD) is a protein module that consists of 6 or 7 antiparallel alpha helices. It participates in apoptosis signaling through highly specific protein-protein homophilic interactions. Like several other CARD proteins, CARD10 belongs to the membrane-associated guanylate kinase (MAGUK) family and activates NF-kappa-B (NFKB; see MIM 164011) through BCL10 (MIM 603517) (Wang et al., 2001
N/A