For quotations, please use our online quotation form, and you may also contact us by
sales@neoscientific.com
+1-888.733.6849
+1-617.299.7367 (Int’l)
+1-888.733.6849
+1-617.299.7367 (Int’l)
| Reactivity | Human Mouse Rat |
| Tested applications | WB IHC |
| Recommended Dilution | WB 1:500 - 1:2000 IHC 1:50 - 1:200 |
| Calculated MW | 11kD |
| Observed MW | Refer to Figures |
| Immunogen | Recombinant protein of human CCL17 |
| Storage Buffer | Store at -20℃. Avoid freeze / thaw cycles. Buffer: PBS with 0.02% sodium azide, 50% glycerol, pH7.3. |
| Synonym | TARC; ABCD-2; SCYA17; A-152E5.3; |

Western blot analysis of extracts of NCL-H460, using CCL17 antibody.

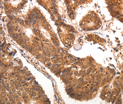
Immunohistochemistry of paraffin-embedded human colon cancer tissue, using CCL17 antibody.

Immunohistochemistry of paraffin-embedded human stomach using CCL17 antibody at dilution of 1:100 (x40 lens).

Immunohistochemistry of paraffin-embedded rat heart using CCL17 antibody at dilution of 1:100 (x40 lens).
This gene is one of several Cys-Cys (CC) cytokine genes clustered on the q arm of chromosome 16. Cytokines are a family of secreted proteins involved in immunoregulatory and inflammatory processes. The CC cytokines are proteins characterized by two adjacent cysteines. The cytokine encoded by this gene displays chemotactic activity for T lymphocytes, but not monocytes or granulocytes. The product of this gene binds to chemokine receptors CCR4 and CCR8. This chemokine plays important roles in T cell development in thymus as well as in trafficking and activation of mature T cells.
N/A