For quotations, please use our online quotation form, and you may also contact us by
sales@neoscientific.com
+1-888.733.6849
+1-617.299.7367 (Int’l)
+1-888.733.6849
+1-617.299.7367 (Int’l)
| Reactivity | Human Mouse Rat |
| Tested applications | WB IHC |
| Recommended Dilution | WB 1:500 - 1:2000 IHC 1:50 - 1:200 |
| Calculated MW | 49kDa |
| Observed MW | Refer to figures |
| Immunogen | A synthetic peptide of human CCNA2 |
| Storage Buffer | Store at -20℃. Avoid freeze / thaw cycles. Buffer: PBS with 0.02% sodium azide, 50% glycerol, pH7.3. |
| Concentration | d |
| Synonym | CCN1; CCNA; |

Western blot analysis of extracts of various cell lines, using CCNA2 antibody.

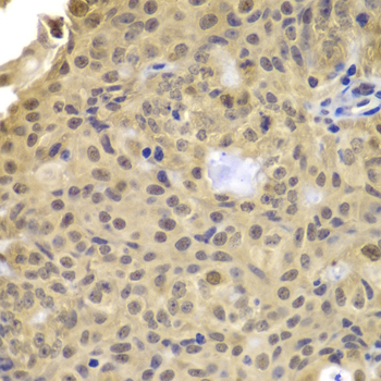
Immunohistochemistry of paraffin-embedded human well-differentiated squamous skin carcinoma using CCNA2 antibody at dilution of 1:100 (x400 lens).

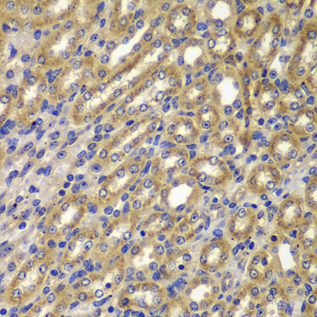
Immunohistochemistry of paraffin-embedded mouse kidney using CCNA2 antibody at dilution of 1:100 (x400 lens).
The protein encoded by this gene belongs to the highly conserved cyclin family, whose members are characterized by a dramatic periodicity in protein abundance through the cell cycle. Cyclins function as regulators of CDK kinases. Different cyclins exhibit distinct expression and degradation patterns which contribute to the temporal coordination of each mitotic event. In contrast to cyclin A1, which is present only in germ cells, this cyclin is expressed in all tissues tested. This cyclin binds and activates CDC2 or CDK2 kinases, and thus promotes both cell cycle G1/S and G2/M transitions.
N/A