CD160-Tag and Loading control Antibodies

our services
our products
Quotations & Ordering:

For quotations, please use our online quotation form, and you may also contact us by

sales@neoscientific.com

Phone:

+1-888.733.6849
+1-617.299.7367 (Int’l)

Fax:

+1-888.733.6849
+1-617.299.7367 (Int’l)

Our customer service representatives are available 24 hours, Monday through Friday to assist you.

CD160

Qty


Total
$220
Catalog #
A8189
Antibody Type
Polyclonal Antibody
Gene ID
11126
Swiss Prot
O95971
Size
Species
Rabbit
Isotype
IgG
Purity
Affinity purification
Additional Information
ReactivityHuman
Tested applicationsWB
Recommended DilutionWB 1:500 - 1:2000
Calculated MW20kDa
Observed MWRefer to figures
ImmunogenRecombinant protein of human CD160
Storage BufferStore at -20℃. Avoid freeze / thaw cycles. Buffer: PBS with 0.02% sodium azide, 50% glycerol, pH7.3.
SynonymNK1; BY55; NK28;
Images
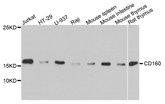
  • A8189: image 1

    Western blot analysis of extract of various cells, using CD160 antibody.

Background

CD160 is an 27 kDa glycoprotein which was initially identified with the monoclonal antibody BY55. Its expression is tightly associated with peripheral blood NK cells and CD8 T lymphocytes with cytolytic effector activity. The cDNA sequence of CD160 predicts a cysteine-rich, glycosylphosphatidylinositol-anchored protein of 181 amino acids with a single Ig-like domain weakly homologous to KIR2DL4 molecule. CD160 is expressed at the cell surface as a tightly disulfide-linked multimer. RNA blot analysis revealed CD160 mRNAs of 1.5 and 1.6 kb whose expression was highly restricted to circulating NK and T cells, spleen and small intestine. Within NK cells CD160 is expressed by CD56dimCD16+ cells whereas among circulating T cells its expression is mainly restricted to TCRgd bearing cells and to TCRab+CD8brightCD95+CD56+CD28-CD27-cells. In tissues, CD160 is expressed on all intestinal intraepithelial lymphocytes. CD160 shows a broad specificity for binding to both classical and nonclassical MHC class I molecules.

Protocol

N/A

MSDS
Reviews
Neo Scientific welcomes feedback from its customers.

If you have used an our product and would like to share how it has performed, please click on the "Submit Review" button and provide the requested information.

If you have any additional inquiries please email technical services at info@neobiolab.com.

Thank you for your support.

promotions

Image

Custom Monoclonal Antibody
MassAb Technologies
Image
Free Trial Custom Polyclonal Antibody
You will receive free purified antibodies for validation
Image
Custom Peptides Synthesis

Start from $40/each

new technologies

Image
Optimized for enhanced
expression levels
XPromoter 2.0
Image
E.coli/insect cells/293 & CHO

3 in 1 expression system
Image
MassAb Technologies

Cover All Epitopes