CDH1-Polyclonal Antibodies

our services
our products
Quotations & Ordering:

For quotations, please use our online quotation form, and you may also contact us by

sales@neoscientific.com

Phone:

+1-888.733.6849
+1-617.299.7367 (Int’l)

Fax:

+1-888.733.6849
+1-617.299.7367 (Int’l)

Our customer service representatives are available 24 hours, Monday through Friday to assist you.

CDH1

Qty


Total
$220
Catalog #
A3149
Antibody Type
Polyclonal Antibody
Gene ID
999
Swiss Prot
P09803
Size
Species
Rabbit
Isotype
IgG
Purity
Affinity purification
Additional Information
ReactivityMouse
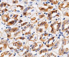
Tested applicationsIHC
Recommended DilutionIHC 1:200 - 1:500
Calculated MW98kDa
Observed MWRefer to Figures
ImmunogenRecombinant protein of human CDH1
Storage BufferStore at -20℃. Avoid freeze / thaw cycles. Buffer: PBS with 0.02% sodium azide, 50% glycerol, pH7.3.
Concentrationdt
SynonymUm; UVO; Ecad; E-cad; L-CAM; AA960649; E-Cadherin;
Background

Cadherins are calcium-dependent cell adhesion proteins which preferentially interact with themselves in a homophilic manner in connecting cells, and thus may contribute to the sorting of heterogeneous cell type. E-cadherin (E-Cad), also known as CDH1 and CD324, is the classical cadherin molecule and contains five cadherin domains of ~110 aa each in the extracellular domain. E-Cad is expressed in the non-neural epithelial tissues as disulfide-linked homodimer, and plays a key role in the organization and integrity of most epithelial tissues, cell differentiation and tissue development. CDH1 interacts directly, via the cytoplasmic domain, with CTNNB1 or JUP to form the PSEN1/cadherin/catenin adhesion complex which connects to the actin skeleton through the actin binding of alpha-catenin. During apoptosis or with calcium influx, E-Cad is cleaved by the metalloproteinase to produce fragments of about 38 kDa (E-CAD/CTF1), 33 kDa (E-CAD/CTF2) and 29 kDa (E-CAD/CTF3), respectively. E-Cad has been identified as a potent invasive suppressor, as downregulation of E-cadherin expression is involved in dysfunction of the cell-cell adhesion system, and often correlates with strong invasive potential and poor prognosis of human carcinomas (gastric, breast, ovary, endometrium and thyroid).

Protocol

N/A

MSDS
Reviews
Neo Scientific welcomes feedback from its customers.

If you have used an our product and would like to share how it has performed, please click on the "Submit Review" button and provide the requested information.

If you have any additional inquiries please email technical services at info@neobiolab.com.

Thank you for your support.

promotions

Image

Custom Monoclonal Antibody
MassAb Technologies
Image
Free Trial Custom Polyclonal Antibody
You will receive free purified antibodies for validation
Image
Custom Peptides Synthesis

Start from $40/each

new technologies

Image
Optimized for enhanced
expression levels
XPromoter 2.0
Image
E.coli/insect cells/293 & CHO

3 in 1 expression system
Image
MassAb Technologies

Cover All Epitopes