For quotations, please use our online quotation form, and you may also contact us by
sales@neoscientific.com
+1-888.733.6849
+1-617.299.7367 (Int’l)
+1-888.733.6849
+1-617.299.7367 (Int’l)
| Reactivity | Human Mouse Rat |
| Tested applications | WB IHC IF |
| Recommended Dilution | WB 1:200 - 1:500 IHC 1:50 - 1:200 IF 1:20 - 1:50 |
| Calculated MW | 27kDa |
| Observed MW | Refer to Figures |
| Immunogen | Recombinant protein of human CDKN1B |
| Storage Buffer | Store at -20℃. Avoid freeze / thaw cycles. Buffer: PBS with 0.02% sodium azide, 50% glycerol, pH7.3. |
| Concentration | q |
| Synonym | CDKN1B;CDKN4;KIP1;MEN1B;MEN4;P27KIP1 |

Western blot analysis of extracts of various cell lines, using CDKN1B antibody.

Immunohistochemistry of paraffin-embedded rat brain using CDKN1B antibody at dilution of 1:200 (400x lens).

Immunohistochemistry of paraffin-embedded rat brain using CDKN1B antibody at dilution of 1:200 (400x lens).

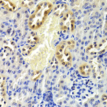
Immunohistochemistry of paraffin-embedded mouse kidney using CDKN1B antibody at dilution of 1:200 (400x lens).
CDKN1B Kip1 is a member of the Cip/Kip family of cyclin-dependent kinase inhibitors. Like its relatives, p57 Kip2 and p21 Waf1/Cip1, the ability to enforce the G1 restriction point is derived from its inhibitory binding to CDK2/cyclin E and other CDK/cyclin complexes. Expression levels of CDKN1B are upregulated in quiescent cells and in cells treated with cAMP or other negative cell cycle regulators. Downregulation of CDKN1B can be induced by treatment with interleukin 2 or other mitogens; this involves phosphorylation of CDKN1B and its degradation by the ubiquitin-proteasome pathway (1-4).
N/A