For quotations, please use our online quotation form, and you may also contact us by
sales@neoscientific.com
+1-888.733.6849
+1-617.299.7367 (Int’l)
+1-888.733.6849
+1-617.299.7367 (Int’l)
| Reactivity | Human Mouse Rat |
| Tested applications | WB IHC IF |
| Recommended Dilution | WB 1:500 - 1:2000 IHC 1:50 - 1:200 IF 1:50 - 1:100 |
| Calculated MW | 16kDa |
| Observed MW | Refer to figures |
| Immunogen | Recombinant protein of human CEBPG |
| Storage Buffer | Store at -20℃. Avoid freeze / thaw cycles. Buffer: PBS with 0.02% sodium azide, 50% glycerol, pH7.3. |
| Synonym | GPE1BP; IG/EBP-1; |

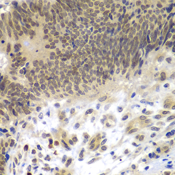
Immunohistochemistry of paraffin-embedded human colon carcinoma using CEBPG antibody at dilution of 1:100 (x400 lens).

Immunohistochemistry of paraffin-embedded human kidney using CEBPG antibody at dilution of 1:100 (x400 lens).

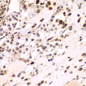
Immunohistochemistry of paraffin-embedded human kidney cancer using CEBPG antibody at dilution of 1:100 (x400 lens).

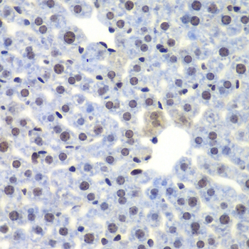
Immunohistochemistry of paraffin-embedded mouse liver using CEBPG antibody at dilution of 1:100 (x400 lens).

Immunofluorescence analysis of MCF7 cell using CEBPG antibody.
The C/EBP family of transcription factors regulates viral and cellular CCAAT/enhancer element-mediated transcription. C/EBP proteins contain the bZIP region, which is characterized by two motifs in the C-terminal half of the protein: a basic region involved in DNA binding and a leucine zipper motif involved in dimerization. The C/EBP family consist of several related proteins, C/EBP alpha, C/EBP beta, C/EBP gamma, and C/EBP delta, that form homodimers and that form heterodimers with each other. CCAAT/enhancer binding protein gamma may cooperate with Fos to bind PRE-I enhancer elements. Two transcript variants encoding the same protein have been found for this gene.
N/A