CFH-Polyclonal Antibodies

our services
our products
Quotations & Ordering:

For quotations, please use our online quotation form, and you may also contact us by

sales@neoscientific.com

Phone:

+1-888.733.6849
+1-617.299.7367 (Int’l)

Fax:

+1-888.733.6849
+1-617.299.7367 (Int’l)

Our customer service representatives are available 24 hours, Monday through Friday to assist you.

CFH

Qty


Total
$220
Catalog #
A2166
Antibody Type
Polyclonal Antibody
Gene ID
3075
Swiss Prot
P08603
Size
Species
Rabbit
Isotype
IgG
Purity
Affinity purification
Additional Information
ReactivityHuman
Tested applicationsWB IHC
Recommended DilutionWB 1:500 - 1:2000 IHC 1:50 - 1:200
Calculated MW49kDa
Observed MWRefer to Figures
ImmunogenRecombinant protein of human CFH
Storage BufferStore at -20℃. Avoid freeze / thaw cycles. Buffer: PBS with 0.02% sodium azide, 50% glycerol, pH7.3.
SynonymARMD4; ARMS1; CFHL3; FH; FHL1; HF; HF1; HF2; HUS; MGC88246;
Images
  • A2166: image 1

    Western blot analysis of extracts of HepG2 cell line, using CFH antibody.

  • A2166: image 2

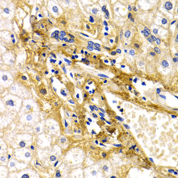
    Immunohistochemistry of paraffin-embedded human liver damage using CFH antibody at dilution of 1:200 (400x lens).

  • A2166: image 3

    Immunohistochemistry of paraffin-embedded human liver cancer using CFH antibody at dilution of 1:200 (400x lens).

Background

CFH (Complement factor H) is a member of the Regulator of Complement Activation (RCA) gene cluster and a protein with twenty short concensus repeat (SCR) domains. This protein is secreted into the bloodstream and has an essential role in the regulation of complement activation, restricting this innate defense mechanism to microbial infections. Mutations in this CFH have been associated with hemolytic-uremic syndrome (HUS) and chronic hypocomplementemic nephropathy (1). 1. Entrez Gene: gene-centered information at NCBI. Nucleic Acids Res. 2005 Jan 1;33:D54-8.

Protocol

N/A

MSDS
Reviews
Neo Scientific welcomes feedback from its customers.

If you have used an our product and would like to share how it has performed, please click on the "Submit Review" button and provide the requested information.

If you have any additional inquiries please email technical services at info@neobiolab.com.

Thank you for your support.

promotions

Image

Custom Monoclonal Antibody
MassAb Technologies
Image
Free Trial Custom Polyclonal Antibody
You will receive free purified antibodies for validation
Image
Custom Peptides Synthesis

Start from $40/each

new technologies

Image
Optimized for enhanced
expression levels
XPromoter 2.0
Image
E.coli/insect cells/293 & CHO

3 in 1 expression system
Image
MassAb Technologies

Cover All Epitopes