For quotations, please use our online quotation form, and you may also contact us by
sales@neoscientific.com
+1-888.733.6849
+1-617.299.7367 (Int’l)
+1-888.733.6849
+1-617.299.7367 (Int’l)
| Reactivity | Human Mouse Rat |
| Tested applications | WB IHC IF |
| Recommended Dilution | WB 1:500 - 1:2000 IHC 1:50 - 1:200 IF 1:10 - 1:100 |
| Calculated MW | 37kDa |
| Observed MW | Refer to Figures |
| Immunogen | Recombinant protein of human COPS5 |
| Storage Buffer | Store at -20℃. Avoid freeze / thaw cycles. Buffer: PBS with 0.02% sodium azide, 50% glycerol, pH7.3. |
| Synonym | CSN5; JAB1; MGC3149; MOV-34; SGN5; |

Western blot analysis of extracts of various cell lines, using COPS5 antibody.

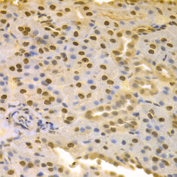
Immunohistochemistry of paraffin-embedded rat kidney using COPS5 antibody at dilution of 1:100 (x400 lens).

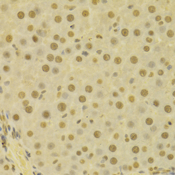
Immunohistochemistry of paraffin-embedded human liver using COPS5 antibody at dilution of 1:100 (x400 lens).

Immunofluorescence analysis of HeLa cell using COPS5 antibody. Blue: DAPI for nuclear staining.
The COP9 Signalosome (CSN) is a ubiquitously expressed multiprotein complex that is involved in a vast array of cellular and developmental processes, which is thought to be attributed to its control over the ubiquitin-proteasome pathway. Typically, the CSN is composed of eight highly conserved subunits (CSN1-CSN8), each of which is homologous to one of the eight subunits that form the lid of the 26S proteasome particle, suggesting that these complexes have a common evolutionary ancestor (1). CSN was first identified in Arabidopsis thaliana mutants with a light-grown seedling phenotype when grown in the dark (2-4). The subsequent cloning of the constitutive morphogenesis 9 (cop9) mutant from Arabidopsis thaliana was soon followed by the biochemical purification of the COP9-containing multiprotein complex (4). It is now widely accepted that the CSN directly interacts with cullin-RING ligase (CRL) families of ubiquitin E3 complexes, and that CSN is required for their proper function (5). In addition, CSN may also regulate protein homeostasis through its association with protein kinases and deubiquitinating enzymes. Collectively, these activities position the CSN as a pivotal regulator of the DNA-damage response, cell-cycle control, and gene expression (1).COPS5/CSN5/Jab1 (c-Jun activation domain-binding protein-1) was originally identified as a transcriptional coactivator of c-Jun and subsequently discovered to be a fifth component and integral part of the CSN (6). As the catalytic center of the CSN, COPS5 is able to integrate multiple functions of the CSN complex such as cell-cycle control, transcription, and DNA-damage response by regulating the activity of CRLs through deneddylation of cullins (7).
N/A