COPS6-Polyclonal Antibodies

our services
our products
Quotations & Ordering:

For quotations, please use our online quotation form, and you may also contact us by

sales@neoscientific.com

Phone:

+1-888.733.6849
+1-617.299.7367 (Int’l)

Fax:

+1-888.733.6849
+1-617.299.7367 (Int’l)

Our customer service representatives are available 24 hours, Monday through Friday to assist you.

COPS6

Qty


Total
$220
Catalog #
A7072
Antibody Type
Polyclonal Antibody
Gene ID
10980
Swiss Prot
Q7L5N1
Size
Species
Rabbit
Isotype
IgG
Purity
Affinity purification
Additional Information
ReactivityHuman Mouse Rat
Tested applicationsWB IF
Recommended DilutionWB 1:500 - 1:2000 IF 1:50 - 1:100
Calculated MW36kDa
Observed MWRefer to figures
ImmunogenRecombinant protein of human COPS6
Storage BufferStore at -20℃. Avoid freeze / thaw cycles. Buffer: PBS with 0.02% sodium azide, 50% glycerol, pH7.3.
SynonymCSN6; MOV34-34KD;
Images
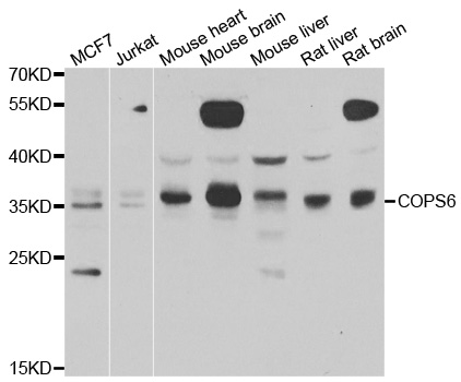
  • A7072: image 1

    Western blot analysis of extracts of various cell lines, using COPS6 antibody.

  • A7072: image 2

    Immunofluorescence analysis of A549 cell using COPS6 antibody. Blue: DAPI for nuclear staining.

Background

The protein encoded by this gene is one of the eight subunits of COP9 signalosome, a highly conserved protein complex that functions as an important regulator in multiple signaling pathways. The structure and function of COP9 signalosome is similar to that of the 19S regulatory particle of 26S proteasome. COP9 signalosome has been shown to interact with SCF-type E3 ubiquitin ligases and act as a positive regulator of E3 ubiquitin ligases. This protein belongs to translation initiation factor 3 (eIF3) superfamily. It is involved in the regulation of cell cycle and likely to be a cellular cofactor for HIV-1 accessory gene product Vpr.

Protocol

N/A

MSDS
Reviews
Neo Scientific welcomes feedback from its customers.

If you have used an our product and would like to share how it has performed, please click on the "Submit Review" button and provide the requested information.

If you have any additional inquiries please email technical services at info@neobiolab.com.

Thank you for your support.

promotions

Image

Custom Monoclonal Antibody
MassAb Technologies
Image
Free Trial Custom Polyclonal Antibody
You will receive free purified antibodies for validation
Image
Custom Peptides Synthesis

Start from $40/each

new technologies

Image
Optimized for enhanced
expression levels
XPromoter 2.0
Image
E.coli/insect cells/293 & CHO

3 in 1 expression system
Image
MassAb Technologies

Cover All Epitopes