For quotations, please use our online quotation form, and you may also contact us by
sales@neoscientific.com
+1-888.733.6849
+1-617.299.7367 (Int’l)
+1-888.733.6849
+1-617.299.7367 (Int’l)
| Reactivity | Human Mouse Rat |
| Tested applications | WB IHC IF |
| Recommended Dilution | WB 1:500 - 1:2000 IHC 1:50 - 1:200 IF 1:50 - 1:100 |
| Calculated MW | 88kDa |
| Observed MW | Refer to Figures |
| Immunogen | A synthetic peptide of human CUL4A |
| Storage Buffer | Store at -20℃. Avoid freeze / thaw cycles. Buffer: PBS with 0.02% sodium azide, 50% glycerol, pH7.3. |
| Concentration | be |

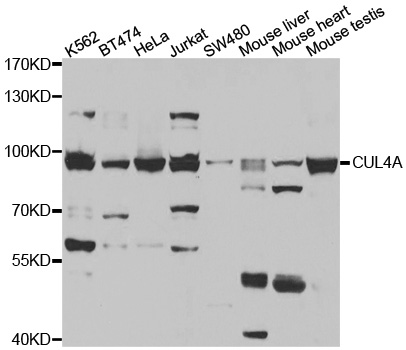
Western blot analysis of extracts of various cells, using CUL4A antibody.

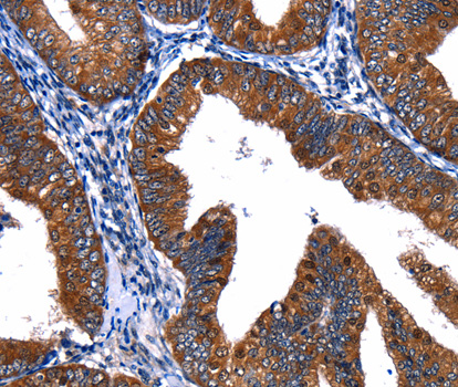
Immunohistochemistry of paraffin-embedded human colon cancer tissue using CUL4A antibody.

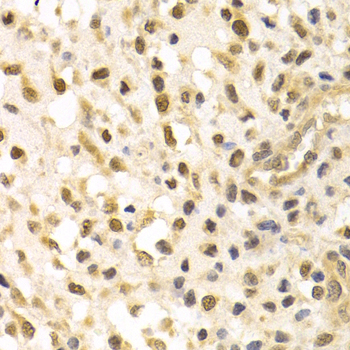
Immunohistochemistry of paraffin-embedded human metrocarcinoma using CUL4A antibody at dilution of 1:200 (400x lens).

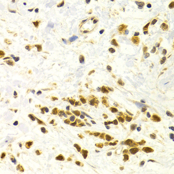
Immunohistochemistry of paraffin-embedded human stomach cancer using CUL4A antibody at dilution of 1:200 (400x lens).

Immunofluorescence analysis of U2OS cell using CUL4A antibody. Blue: DAPI for nuclear staining. DNA damage by a UV-A laser.
CUL4A is the ubiquitin ligase component of a multimeric complex involved in the degradation of DNA damage-response proteins.Core component of multiple cullin-RING-based E3 ubiquitin-protein ligase complexes which mediate the ubiquitination and subsequent proteasomal degradation of target proteins. As a scaffold protein may contribute to catalysis through positioning of the substrate and the ubiquitin-conjugating enzyme. The E3 ubiquitin-protein ligase activity of the complex is dependent on the neddylation of the cullin subunit and is inhibited by the association of the deneddylated cullin subunit with TIP120A/CAND1. The functional specificity of the E3 ubiquitin-protein ligase complex depends on the variable substrate recognition component. DCX(DET1-COP1) directs ubiquitination of JUN. DCX(DDB2) directs ubiquitination of XPC.
N/A