For quotations, please use our online quotation form, and you may also contact us by
sales@neoscientific.com
+1-888.733.6849
+1-617.299.7367 (Int’l)
+1-888.733.6849
+1-617.299.7367 (Int’l)
| Reactivity | Human Mouse Rat |
| Tested applications | WB IHC IF |
| Recommended Dilution | WB 1:500 - 1:2000 IHC 1:50 - 1:200 IF 1:50 - 1:200 |
| Calculated MW | 104kDa |
| Observed MW | Refer to figures |
| Immunogen | Recombinant protein of human CUL4B |
| Storage Buffer | Store at -20℃. Avoid freeze / thaw cycles. Buffer: PBS with 0.02% sodium azide, 50% glycerol, pH7.3. |
| Concentration | e |
| Synonym | hCUL4B; |

Western blot analysis of extracts of mouse tissues, using CUL4B antibody.

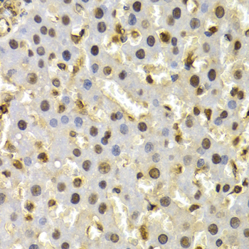
Immunohistochemistry of paraffin-embedded rat liver using CUL4B antibody at dilution of 1:200 (400x lens).

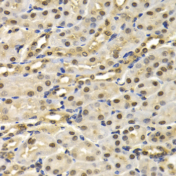
Immunohistochemistry of paraffin-embedded mouse kidney using CUL4B antibody at dilution of 1:200 (400x lens).

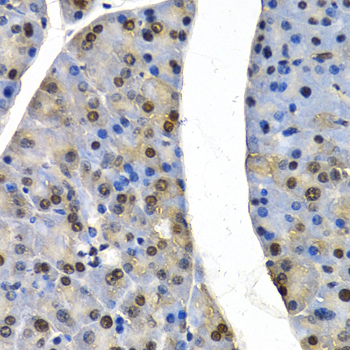
Immunohistochemistry of paraffin-embedded mouse pancreas using CUL4B antibody at dilution of 1:200 (400x lens).

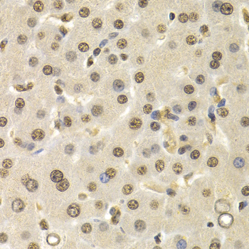
Immunohistochemistry of paraffin-embedded human liver cancer using CUL4B antibody at dilution of 1:200 (400x lens).

Immunofluorescence analysis of U2OS cell using CUL4B antibody. Blue: DAPI for nuclear staining. DNA damage by a UV-A laser.

Immunofluorescence analysis of U20S cell using CUL4B antibody.
This gene is a member of the cullin family. The encoded protein forms a complex that functions as an E3 ubiquitin ligase and catalyzes the polyubiquitination of specific protein substrates in the cell. The protein interacts with a ring finger protein, and is required for the proteolysis of several regulators of DNA replication including chromatin licensing and DNA replication factor 1 and cyclin E. Multiple transcript variants encoding different isoforms have been found for this gene.
N/A