DCTN2-Polyclonal Antibodies

our services
our products
Quotations & Ordering:

For quotations, please use our online quotation form, and you may also contact us by

sales@neoscientific.com

Phone:

+1-888.733.6849
+1-617.299.7367 (Int’l)

Fax:

+1-888.733.6849
+1-617.299.7367 (Int’l)

Our customer service representatives are available 24 hours, Monday through Friday to assist you.

DCTN2

Qty


Total
$220
Catalog #
A2200
Antibody Type
Polyclonal Antibody
Gene ID
10540
Swiss Prot
Q13561
Size
Species
Rabbit
Isotype
IgG
Purity
Affinity purification
Additional Information
ReactivityHuman Mouse Rat
Tested applicationsWB IHC IF
Recommended DilutionWB 1:500 - 1:2000 IHC 1:50 - 1:200 IF 1:20 - 1:50
Calculated MW44kDa
Observed MWRefer to Figures
ImmunogenRecombinant protein of human DCTN2
Storage BufferStore at -20℃. Avoid freeze / thaw cycles. Buffer: PBS with 0.02% sodium azide, 50% glycerol, pH7.3.
Concentrationdi
SynonymDCTN50; DYNAMITIN; RBP50;
Images
  • A2200: image 1

    Western blot analysis of extracts of MCF7 cell line, using DCTN2 antibody.

  • A2200: image 2

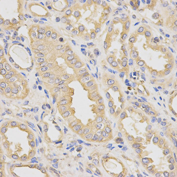
    Immunohistochemistry of paraffin-embedded human kidney using DCTN2 antibody at dilution of 1:200 (x40 lens)

  • A2200: image 3

    Immunofluorescence analysis of U2OS cell using DCTN2 antibody. Blue: DAPI for nuclear staining.

Background

Dynamitin is a 50 kDa protein containing a calmodulin binding domain, a putative ATPase domain and MacMARCKS-binding domain. This protein is a part of the dynactin complex believed to link the dynactin complex to membrane compartments. Its functions are tightly associated with dynein motor protein, thus extend to vesicle trafficking and membrane integrity. Dynamitin was named so because its overexpression causes dynactin complex which contains 10 subunits, to disassemble. Its N terminal 58 amino acid is for MacMARCKS binding and residues 59-83 is responsible for calmodulin binding. This antibody is against the full length p50 dynamitin.

Protocol

N/A

MSDS
Reviews
Neo Scientific welcomes feedback from its customers.

If you have used an our product and would like to share how it has performed, please click on the "Submit Review" button and provide the requested information.

If you have any additional inquiries please email technical services at info@neobiolab.com.

Thank you for your support.

promotions

Image

Custom Monoclonal Antibody
MassAb Technologies
Image
Free Trial Custom Polyclonal Antibody
You will receive free purified antibodies for validation
Image
Custom Peptides Synthesis

Start from $40/each

new technologies

Image
Optimized for enhanced
expression levels
XPromoter 2.0
Image
E.coli/insect cells/293 & CHO

3 in 1 expression system
Image
MassAb Technologies

Cover All Epitopes