For quotations, please use our online quotation form, and you may also contact us by
sales@neoscientific.com
+1-888.733.6849
+1-617.299.7367 (Int’l)
+1-888.733.6849
+1-617.299.7367 (Int’l)
| Reactivity | Human Mouse Rat |
| Tested applications | WB IHC |
| Recommended Dilution | WB 1:500 - 1:1000 IHC 1:50 - 1:100 |
| Calculated MW | 127kDa |
| Observed MW | Refer to Figures |
| Immunogen | A synthetic peptide of human DDB1 |
| Storage Buffer | Store at -20℃. Avoid freeze / thaw cycles. Buffer: PBS with 0.02% sodium azide, 50% glycerol, pH7.3. |
| Concentration | e |
| Synonym | XPE;DDBA;XAP1;XPCE;XPE-BF;UV-DDB1; |

Western blot analysis of extracts of various cell lines, using DDB1 antibody.

Immunohistochemistry of paraffin-embedded human cervical cancer tissue using DDB1 antibody.

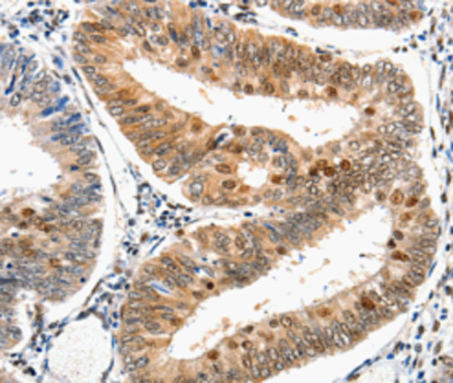
Immunohistochemistry of paraffin-embedded human metrocarcinoma using DDB1 antibody at dilution of 1:200 (400x lens).

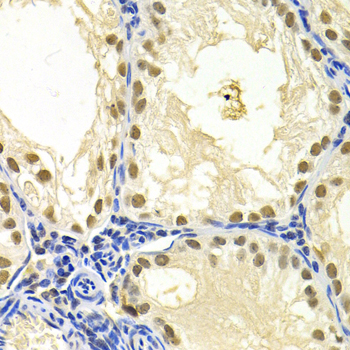
Immunohistochemistry of paraffin-embedded mouse testis using DDB1 antibody at dilution of 1:200 (400x lens).

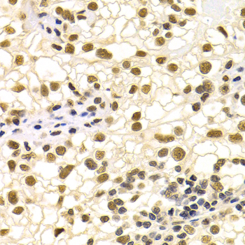
Immunohistochemistry of paraffin-embedded human liver injury using DDB1 antibody at dilution of 1:200 (400x lens).

Immunohistochemistry of paraffin-embedded human kidney cancer using DDB1 antibody at dilution of 1:200 (400x lens).

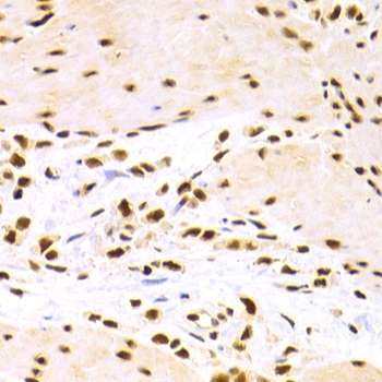
Immunohistochemistry of paraffin-embedded human stomach cancer using DDB1 antibody at dilution of 1:200 (400x lens).
The protein encoded by this gene is the large subunit (p127) of the heterodimeric DNA damage-binding (DDB) complex while another protein (p48) forms the small subunit. This protein complex functions in nucleotide-excision repair and binds to DNA following UV damage. Defective activity of this complex causes the repair defect in patients with xeroderma pigmentosum complementation group E (XPE) - an autosomal recessive disorder characterized by photosensitivity and early onset of carcinomas. However, it remains for mutation analysis to demonstrate whether the defect in XPE patients is in this gene or the gene encoding the small subunit. In addition, Best vitelliform mascular dystrophy is mapped to the same region as this gene on 11q, but no sequence alternations of this gene are demonstrated in Best disease patients. The protein encoded by this gene also functions as an adaptor molecule for the cullin 4 (CUL4) ubiquitin E3 ligase complex by facilitating the binding of substrates to this complex and the ubiquitination of proteins.
N/A