For quotations, please use our online quotation form, and you may also contact us by
sales@neoscientific.com
+1-888.733.6849
+1-617.299.7367 (Int’l)
+1-888.733.6849
+1-617.299.7367 (Int’l)
| Reactivity | Human Mouse Rat |
| Tested applications | WB IHC IF IP RIP |
| Recommended Dilution | WB 1:500 - 1:2000 IHC 1:50 - 1:200 IF 1:50 - 1:200 IP 1:20 - 1:50 RIP 1:20 - 1:50 |
| Calculated MW | 73kDa |
| Observed MW | Refer to Figures |
| Immunogen | Recombinant protein of human DDX3X |
| Storage Buffer | Store at -20℃. Avoid freeze / thaw cycles. Buffer: PBS with 0.02% sodium azide, 50% glycerol, pH7.3. |
| Concentration | j |
| Synonym | DBX; DDX3; HLP2; DDX14; |

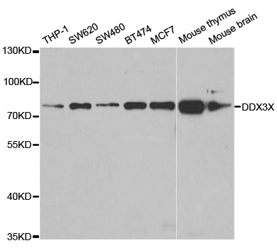
Western blot analysis of extracts of various cell lines, using DDX3X antibody.

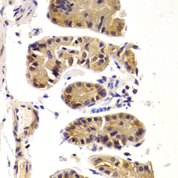
Immunohistochemistry of paraffin-embedded human breast cancer using DDX3X antibody at dilution of 1:200 (400x lens).

Immunofluorescence analysis of U20S cell using DDX3X antibody. Blue: DAPI for nuclear staining.

Immunofluorescence analysis of HeLa cell using DDX3X antibody. Blue: DAPI for nuclear staining.
DEAD box proteins, characterized by the conserved motif Asp-Glu-Ala-Asp (DEAD), are putative RNA helicases. They are implicated in a number of cellular processes involving alteration of RNA secondary structure such as translation initiation, nuclear and mitochondrial splicing, and ribosome and spliceosome assembly. Based on their distribution patterns, some members of this family are believed to be involved in embryogenesis, spermatogenesis, and cellular growth and division. This gene encodes a DEAD box protein, which interacts specifically with hepatitis C virus core protein resulting a change in intracellular location. This gene has a homolog located in the nonrecombining region of the Y chromosome. The protein sequence is 91% identical between this gene and the Y-linked homolog. Alternative splicing results in multiple transcript variants.
N/A