For quotations, please use our online quotation form, and you may also contact us by
sales@neoscientific.com
+1-888.733.6849
+1-617.299.7367 (Int’l)
+1-888.733.6849
+1-617.299.7367 (Int’l)
| Reactivity | Human Mouse Rat |
| Tested applications | WB IHC IF |
| Recommended Dilution | WB 1:500 - 1:2000 IHC 1:50 - 1:200 IF 1:50 - 1:200 |
| Calculated MW | 69kDa |
| Observed MW | Refer to Figures |
| Immunogen | Recombinant protein of human DDX5 |
| Storage Buffer | Store at -20℃. Avoid freeze / thaw cycles. Buffer: PBS with 0.02% sodium azide, 50% glycerol, pH7.3. |
| Concentration | j |
| Synonym | p68; HLR1; G17P1; HUMP68 |

Western blot analysis of extracts of various cell lines, using DDX5 antibody.

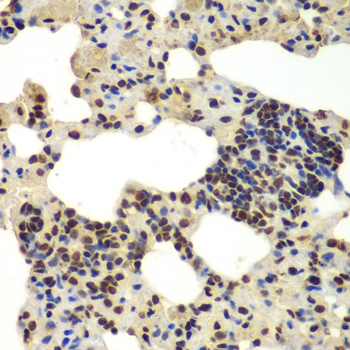
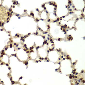
Immunohistochemistry of paraffin-embedded rat lung using DDX5 antibody at dilution of 1:100 (400x lens).

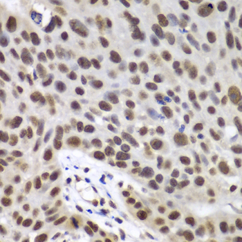
Immunohistochemistry of paraffin-embedded human lung cancer using DDX5 antibody at dilution of 1:100 (400x lens).

Immunohistochemistry of paraffin-embedded human oophoroma using DDX5 antibody at dilution of 1:100 (400x lens).

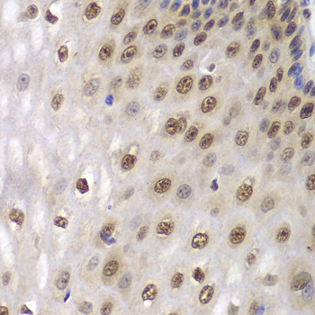
Immunohistochemistry of paraffin-embedded human esophageal using DDX5 antibody at dilution of 1:100 (400x lens).

Immunohistochemistry of paraffin-embedded mouse lung using DDX5 antibody at dilution of 1:100 (400x lens).

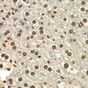
Immunohistochemistry of paraffin-embedded mouse liver using DDX5 antibody at dilution of 1:100 (400x lens).

Immunofluorescence analysis of U20S cell using DDX5 antibody. Blue: DAPI for nuclear staining.

Immunofluorescence analysis of HeLa cell using DDX5 antibody. Blue: DAPI for nuclear staining.
DEAD box proteins, characterized by the conserved motif Asp-Glu-Ala-Asp (DEAD), are putative RNA helicases. They are implicated in a number of cellular processes involving alteration of RNA secondary structure, such as translation initiation, nuclear and mitochondrial splicing, and ribosome and spliceosome assembly. Based on their distribution patterns, some members of this family are believed to be involved in embryogenesis, spermatogenesis, and cellular growth and division. This gene encodes a DEAD box protein, which is a RNA-dependent ATPase, and also a proliferation-associated nuclear antigen, specifically reacting with the simian virus 40 tumor antigen. This gene consists of 13 exons, and alternatively spliced transcripts containing several intron sequences have been detected, but no isoforms encoded by these transcripts have been identified.
N/A