For quotations, please use our online quotation form, and you may also contact us by
sales@neoscientific.com
+1-888.733.6849
+1-617.299.7367 (Int’l)
+1-888.733.6849
+1-617.299.7367 (Int’l)
| Reactivity | Human Mouse Rat |
| Tested applications | WB IHC IF |
| Recommended Dilution | WB 1:500 - 1:2000 IHC 1:50 - 1:200 IF 1:50 - 1:100 |
| Calculated MW | 36kDa |
| Observed MW | Refer to figures |
| Immunogen | Recombinant protein of human DNAJB6 |
| Storage Buffer | Store at -20℃. Avoid freeze / thaw cycles. Buffer: PBS with 0.02% sodium azide, 50% glycerol, pH7.3. |
| Synonym | DJ4; MRJ; DnaJ; HSJ2; HHDJ1; HSJ-2; MSJ-1; LGMD1D; LGMD1E; |

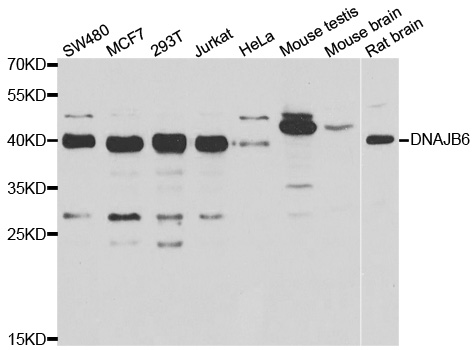
Western blot analysis of extracts of various cell lines, using DNAJB6 antibody.

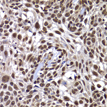
Immunohistochemistry of paraffin-embedded human well-differentiated squamous skin carcinoma using DNAJB6 antibody at dilution of 1:100 (x400 lens).

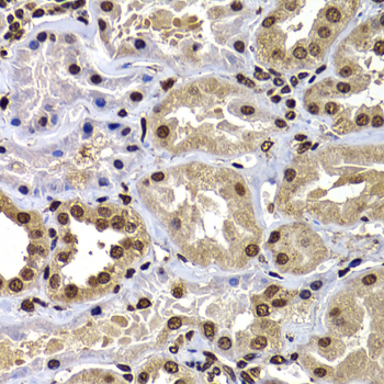
Immunohistochemistry of paraffin-embedded human kidney using DNAJB6 antibody at dilution of 1:100 (x400 lens).

Immunohistochemistry of paraffin-embedded human kidney cancer using DNAJB6 antibody at dilution of 1:100 (x400 lens).

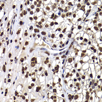
Immunohistochemistry of paraffin-embedded human stomach using DNAJB6 antibody at dilution of 1:100 (x400 lens).

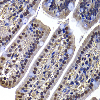
Immunohistochemistry of paraffin-embedded mouse ileum using DNAJB6 antibody at dilution of 1:100 (x400 lens).

Immunofluorescence analysis of U20S cell using DNAJB6 antibody. Blue: DAPI for nuclear staining.
This gene encodes a member of the DNAJ protein family. DNAJ family members are characterized by a highly conserved amino acid stretch called the 'J-domain' and function as one of the two major classes of molecular chaperones involved in a wide range of cellular events, such as protein folding and oligomeric protein complex assembly. This family member may also play a role in polyglutamine aggregation in specific neurons. Alternative splicing of this gene results in multiple transcript variants; however, not all variants have been fully described.
N/A