DPP8-Polyclonal Antibodies

our services
our products
Quotations & Ordering:

For quotations, please use our online quotation form, and you may also contact us by

sales@neoscientific.com

Phone:

+1-888.733.6849
+1-617.299.7367 (Int’l)

Fax:

+1-888.733.6849
+1-617.299.7367 (Int’l)

Our customer service representatives are available 24 hours, Monday through Friday to assist you.

DPP8

Qty


Total
$220
Catalog #
A7113
Antibody Type
Polyclonal Antibody
Gene ID
54878
Swiss Prot
Q6V1X1
Size
Species
Rabbit
Isotype
IgG
Purity
Affinity purification
Additional Information
ReactivityHuman Mouse Rat
Tested applicationsWB IHC IF
Recommended DilutionWB 1:500 - 1:2000 IHC 1:50 - 1:200 IF 1:50 - 1:100
Calculated MW103kDa
Observed MWRefer to figures
ImmunogenRecombinant protein of human DPP8
Storage BufferStore at -20℃. Avoid freeze / thaw cycles. Buffer: PBS with 0.02% sodium azide, 50% glycerol, pH7.3.
SynonymDP8; DPRP1; MSTP141;
Images
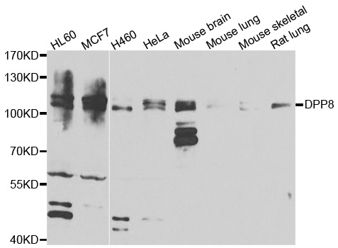
  • A7113: image 1

    Western blot analysis of extracts of various cell lines, using DPP8 antibody.

  • A7113: image 2

    Immunofluorescence analysis of A549 cell using DPP8 antibody. Blue: DAPI for nuclear staining.

Background

This gene encodes a member of the peptidase S9B family, a small family of dipeptidyl peptidases that are able to cleave peptide substrates at a prolyl bond. The encoded protein shares similarity with dipeptidyl peptidase IV in that it is ubiquitously expressed, and hydrolyzes the same substrates. These similarities suggest that, like dipeptidyl peptidase IV, this protein may play a role in T-cell activation and immune function. Alternatively spliced transcript variants encoding different isoforms have been described.

Protocol

N/A

MSDS
Reviews
Neo Scientific welcomes feedback from its customers.

If you have used an our product and would like to share how it has performed, please click on the "Submit Review" button and provide the requested information.

If you have any additional inquiries please email technical services at info@neobiolab.com.

Thank you for your support.

promotions

Image

Custom Monoclonal Antibody
MassAb Technologies
Image
Free Trial Custom Polyclonal Antibody
You will receive free purified antibodies for validation
Image
Custom Peptides Synthesis

Start from $40/each

new technologies

Image
Optimized for enhanced
expression levels
XPromoter 2.0
Image
E.coli/insect cells/293 & CHO

3 in 1 expression system
Image
MassAb Technologies

Cover All Epitopes