For quotations, please use our online quotation form, and you may also contact us by
sales@neoscientific.com
+1-888.733.6849
+1-617.299.7367 (Int’l)
+1-888.733.6849
+1-617.299.7367 (Int’l)
| Reactivity | Human Mouse Rat |
| Tested applications | WB IHC IF IP ChIP |
| Recommended Dilution | WB 1:500 - 1:2000 IHC 1:50 - 1:200 IF 1:20 - 1:100 IP 1:20 - 1:100 CHIP 1:20 - 1:50 |
| Calculated MW | 32kDa |
| Observed MW | Refer to Figures |
| Immunogen | Recombinant protein of human E2F6 |
| Storage Buffer | Store at -20℃. Avoid freeze / thaw cycles. Buffer: PBS with 0.02% sodium azide, 50% glycerol, pH7.3. |
| Concentration | fk |
| Synonym | E2F-6 |

Western blot analysis of extracts of various cell lines, using E2F6 antibody.

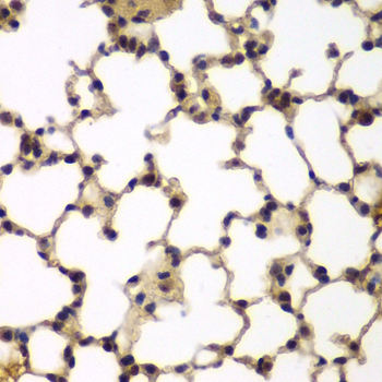
Immunohistochemistry of paraffin-embedded mouse lung using E2F6 antibody at dilution of 1:200 (400x lens).

Immunohistochemistry of paraffin-embedded human esophageal cancer using E2F6 antibody at dilution of 1:100 (x40 lens).

Immunohistochemistry of paraffin-embedded human gastric cancer using E2F6 antibody at dilution of 1:100 (x40 lens).

Immunofluorescence analysis of HeLa cell using E2F6 antibody.
This gene encodes a member of a family of transcription factors that play a crucial role in the control of the cell cycle. The protein encoded by this gene lacks the transactivation and tumor suppressor protein association domains found in other family members, and contains a modular suppression domain that functions in the inhibition of transcription. It interacts in a complex with chromatin modifying factors. There are pseudogenes for this gene on chromosomes 22 and X. Alternative splicing results in multiple transcript variants.
N/A