ECM1-Methylated Antibodies

our services
our products
Quotations & Ordering:

For quotations, please use our online quotation form, and you may also contact us by

sales@neoscientific.com

Phone:

+1-888.733.6849
+1-617.299.7367 (Int’l)

Fax:

+1-888.733.6849
+1-617.299.7367 (Int’l)

Our customer service representatives are available 24 hours, Monday through Friday to assist you.

ECM1

Qty


Total
$220
Catalog #
A1513
Antibody Type
Polyclonal Antibody
Gene ID
1893
Swiss Prot
Q16610
Size
Species
Rabbit
Isotype
IgG
Purity
Affinity purification
Additional Information
ReactivityHuman Mouse Rat
Tested applicationsWB IHC
Recommended DilutionWB 1:500 - 1:1000 IHC 1:50 - 1:100
Calculated MW61kDa
Observed MWRefer to Figures
ImmunogenRecombinant protein of human ECM1
Storage BufferStore at -20℃. Avoid freeze / thaw cycles. Buffer: PBS with 0.02% sodium azide, 50% glycerol, pH7.3.
SynonymECM1; extracellular matrix protein 1; Secretory component p85;
Images
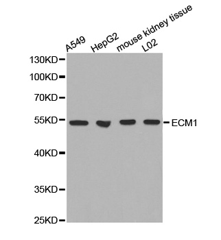
  • A1513: image 1

    Western blot analysis of extracts of various cell lines, using ECM1 antibody.

Background

ECM1 (extracellular matrix protein 1), also known as secretory component p85, is a secreted glycoprotein that is essential for the proper structure and function of the skin. It is widely expressed and localizes to the extracellular matrix. ECM1 binds to a variety of extracellular matrix components, including Perlecan, Fibulin and matrix metalloproteinase-9 (MMP-9), and participates in the structural organization of the dermis. In addition, ECM1 enhances the association of Collagen Type IV with Laminin 332 suggesting that it is a key player in interstitial dermis and the dermal-epidermal junction. Mutations in the gene encoding ECM1 result in the autosomal recessive disorder lipoid proteinosis (LiP). LiP is characterized by hyalinization of the dermis and reduplication of the basement membrane of the skin. LiP patients exhibit thickening of the skin and mucosae. Four splice variants (known as ECM1a-ECM1d) exist for ECM1.

Protocol

N/A

MSDS
Reviews
Neo Scientific welcomes feedback from its customers.

If you have used an our product and would like to share how it has performed, please click on the "Submit Review" button and provide the requested information.

If you have any additional inquiries please email technical services at info@neobiolab.com.

Thank you for your support.

promotions

Image

Custom Monoclonal Antibody
MassAb Technologies
Image
Free Trial Custom Polyclonal Antibody
You will receive free purified antibodies for validation
Image
Custom Peptides Synthesis

Start from $40/each

new technologies

Image
Optimized for enhanced
expression levels
XPromoter 2.0
Image
E.coli/insect cells/293 & CHO

3 in 1 expression system
Image
MassAb Technologies

Cover All Epitopes