For quotations, please use our online quotation form, and you may also contact us by
sales@neoscientific.com
+1-888.733.6849
+1-617.299.7367 (Int’l)
+1-888.733.6849
+1-617.299.7367 (Int’l)
| Reactivity | Human Mouse Rat |
| Tested applications | WB IHC IF |
| Recommended Dilution | WB 1:500 - 1:2000 IHC 1:50 - 1:200 IF 1:50 - 1:200 |
| Calculated MW | 31kDa |
| Observed MW | Refer to Figures |
| Immunogen | Recombinant protein of human EEF1D |
| Storage Buffer | Store at -20℃. Avoid freeze / thaw cycles. Buffer: PBS with 0.02% sodium azide, 50% glycerol, pH7.3. |
| Synonym | EF1D; EF-1D; FP1047; |

Western blot analysis of extracts of various cell lines, using EEF1D antibody.

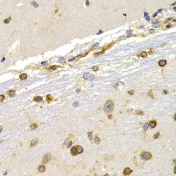
Immunohistochemistry of paraffin-embedded rat brain using EEF1D antibody at dilution of 1:200 (400x lens).

Immunohistochemistry of paraffin-embedded mouse brain using EEF1D antibody at dilution of 1:200 (400x lens).

Immunofluorescence analysis of U20S cell using EEF1D antibody. Blue: DAPI for nuclear staining.
This gene encodes a subunit of the elongation factor-1 complex, which is responsible for the enzymatic delivery of aminoacyl tRNAs to the ribosome. This subunit, delta, functions as guanine nucleotide exchange factor. It is reported that following HIV-1 infection, this subunit interacts with HIV-1 Tat. This interaction results in repression of translation of host cell proteins and enhanced translation of viral proteins. Several alternatively spliced transcript variants encoding multiple isoforms have been found for this gene. Related pseudogenes have been defined on chromosomes 1, 6, 7, 9, 11, 13, 17, 19.
N/A