For quotations, please use our online quotation form, and you may also contact us by
sales@neoscientific.com
+1-888.733.6849
+1-617.299.7367 (Int’l)
+1-888.733.6849
+1-617.299.7367 (Int’l)
| Reactivity | Human Mouse Rat |
| Tested applications | WB IHC IF |
| Recommended Dilution | WB 1:500 - 1:2000 IHC 1:50 - 1:200 IF 1:50 - 1:200 |
| Calculated MW | 134kD |
| Observed MW | Refer to Figures |
| Immunogen | A synthetic peptide of human EGFR |
| Storage Buffer | Store at -20℃. Avoid freeze / thaw cycles. Buffer: PBS with 0.02% sodium azide, 50% glycerol, pH7.3. |
| Concentration | o |
| Synonym | ERBB; ERBB1; HER1; PIG61; mENA; |

Western blot analysis of extracts of various cell lines, using EGFR antibody.

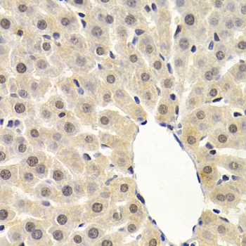
Immunohistochemistry of paraffin-embedded rat liver using EGFR antibody at dilution of 1:200 (40x lens).

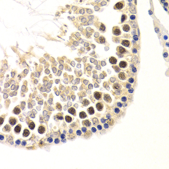
Immunohistochemistry of paraffin-embedded rat testis using EGFR antibody at dilution of 1:200 (40x lens).

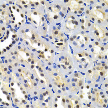
Immunohistochemistry of paraffin-embedded rat kidney using EGFR antibody at dilution of 1:200 (40x lens).

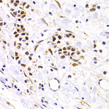
Immunohistochemistry of paraffin-embedded human stomach cancer using EGFR antibody at dilution of 1:200 (40x lens).

Immunohistochemistry of paraffin-embedded mouse liver using EGFR antibody at dilution of 1:200 (40x lens).

Immunohistochemistry of paraffin-embedded mouse kidney using EGFR antibody at dilution of 1:200 (40x lens).
The protein encoded by this gene is a transmembrane glycoprotein that is a member of the protein kinase superfamily. This protein is a receptor for members of the epidermal growth factor family. EGFR is a cell surface protein that binds to epidermal growth factor. Binding of the protein to a ligand induces receptor dimerization and tyrosine autophosphorylation and leads to cell proliferation. Mutations in this gene are associated with lung cancer. Multiple alternatively spliced transcript variants that encode different protein isoforms have been found for this gene.
N/A