EGR1-Polyclonal Antibodies

our services
our products
Quotations & Ordering:

For quotations, please use our online quotation form, and you may also contact us by

sales@neoscientific.com

Phone:

+1-888.733.6849
+1-617.299.7367 (Int’l)

Fax:

+1-888.733.6849
+1-617.299.7367 (Int’l)

Our customer service representatives are available 24 hours, Monday through Friday to assist you.

EGR1

Qty


Total
$220
Catalog #
A7266
Antibody Type
Polyclonal Antibody
Gene ID
1958
Swiss Prot
P18146
Size
Species
Rabbit
Isotype
IgG
Purity
Affinity purification
Additional Information
ReactivityHuman Mouse
Tested applicationsWB IHC IF IP
Recommended DilutionWB 1:200 - 1:1000 IHC 1:20 - 1:200 IF 1:10 - 1:100 IP 1:20 - 1:50
Calculated MW58kDa
Observed MWRefer to figures
ImmunogenA synthetic peptide of human EGR1
Storage BufferStore at -20℃. Avoid freeze / thaw cycles. Buffer: PBS with 0.02% sodium azide, 50% glycerol, pH7.3.
SynonymTIS8; AT225; G0S30; NGFI-A; ZNF225; KROX-24; ZIF-268;
Images
  • A7266: image 1

    Western blot analysis of extracts of Mouse brain cell line, using EGR1 antibody.

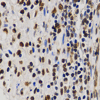
  • A7266: image 2

    Immunohistochemistry of paraffin-embedded human cervical cancer tissue slide using EGR1 Antibody at dilution of 1:50 (under 40x lens)

Background

The protein encoded by this gene belongs to the EGR family of C2H2-type zinc-finger proteins. It is a nuclear protein and functions as a transcriptional regulator. The products of target genes it activates are required for differentitation and mitogenesis. Studies suggest this is a cancer suppresor gene.

Protocol

N/A

MSDS
Reviews
Neo Scientific welcomes feedback from its customers.

If you have used an our product and would like to share how it has performed, please click on the "Submit Review" button and provide the requested information.

If you have any additional inquiries please email technical services at info@neobiolab.com.

Thank you for your support.

promotions

Image

Custom Monoclonal Antibody
MassAb Technologies
Image
Free Trial Custom Polyclonal Antibody
You will receive free purified antibodies for validation
Image
Custom Peptides Synthesis

Start from $40/each

new technologies

Image
Optimized for enhanced
expression levels
XPromoter 2.0
Image
E.coli/insect cells/293 & CHO

3 in 1 expression system
Image
MassAb Technologies

Cover All Epitopes