For quotations, please use our online quotation form, and you may also contact us by
sales@neoscientific.com
+1-888.733.6849
+1-617.299.7367 (Int’l)
+1-888.733.6849
+1-617.299.7367 (Int’l)
| Reactivity | Human Mouse Rat |
| Tested applications | WB IHC |
| Recommended Dilution | WB 1:500 - 1:1000 IHC 1:100 - 1:200 |
| Calculated MW | 102kDa |
| Observed MW | Refer to Figures |
| Immunogen | A synthetic peptide of human EIF4G2 |
| Storage Buffer | Store at -20℃. Avoid freeze / thaw cycles. Buffer: PBS with 0.02% sodium azide, 50% glycerol, pH7.3. |
| Concentration | j |
| Synonym | P97;AAG1;DAP5;NAT1; |

Western blot analysis of extracts of various cell lines, using EIF4G2 antibody.

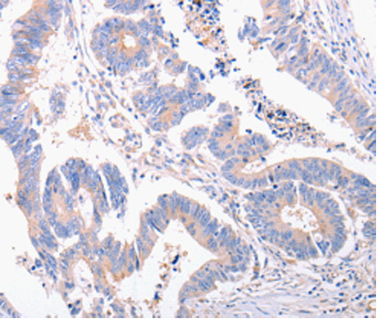
Immunohistochemistry of paraffin-embedded human stomach cancer using EIF4G2 antibody at dilution of 1:200 (400x lens).

Immunohistochemistry of paraffin-embedded mouse heart using EIF4G2 antibody.

Immunohistochemistry of paraffin-embedded human liver injury using EIF4G2 antibody.

Immunohistochemistry of paraffin-embedded human stomach using EIF4G2 antibody.

Immunohistochemistry of paraffin-embedded mouse spleen using EIF4G2 antibody.

Immunohistochemistry of paraffin-embedded mouse heart using EIF4G2 antibody.

Immunohistochemistry of paraffin-embedded rat heart using EIF4G2 antibody.

Immunohistochemistry of paraffin-embedded human liver injury using EIF4G2 antibody.
Translation initiation is mediated by specific recognition of the cap structure by eukaryotic translation initiation factor 4F (eIF4F), which is a cap binding protein complex that consists of three subunits: eIF4A, eIF4E and eIF4G. The protein encoded by this gene shares similarity with the C-terminal region of eIF4G that contains the binding sites for eIF4A and eIF3; eIF4G, in addition, contains a binding site for eIF4E at the N-terminus. Unlike eIF4G, which supports cap-dependent and independent translation, this gene product functions as a general repressor of translation by forming translationally inactive complexes. In vitro and in vivo studies indicate that translation of this mRNA initiates exclusively at a non-AUG (GUG) codon. Alternatively spliced transcript variants encoding different isoforms of this gene have been described.
N/A