For quotations, please use our online quotation form, and you may also contact us by
sales@neoscientific.com
+1-888.733.6849
+1-617.299.7367 (Int’l)
+1-888.733.6849
+1-617.299.7367 (Int’l)
| Reactivity | Human Mouse Rat |
| Tested applications | WB IHC IF |
| Recommended Dilution | WB 1:500 - 1:2000 IHC 1:100 - 1:200 IF 1:50 - 1:200 |
| Calculated MW | 36kDa |
| Observed MW | Refer to Figures |
| Immunogen | Recombinant protein of human ELAVL1 |
| Storage Buffer | Store at -20℃. Avoid freeze / thaw cycles. Buffer: PBS with 0.02% sodium azide, 50% glycerol, pH7.3. |
| Concentration | j |
| Synonym | HUR; Hua; MelG; ELAV1; |

Western blot analysis of extracts of various cell lines, using ELAVL1 antibody.

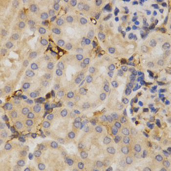
Immunohistochemistry of paraffin-embedded rat testis using ELAVL1 antibody at dilution of 1:200 (40x lens).

Immunohistochemistry of paraffin-embedded rat brain using ELAVL1 antibody at dilution of 1:200 (40x lens).

Immunohistochemistry of paraffin-embedded mouse testis using ELAVL1 antibody at dilution of 1:200 (40x lens).

Immunohistochemistry of paraffin-embedded mouse kidney using ELAVL1 antibody at dilution of 1:200 (40x lens).

Immunohistochemistry of paraffin-embedded Human colon using ELAVL1 antibody at dilution of 1:100 (40x lens).

Immunohistochemistry of paraffin-embedded Human esophageal using ELAVL1 antibody at dilution of 1:100 (40x lens).

Immunohistochemistry of paraffin-embedded human esophageal cancer using ELAVL1 antibody at dilution of 1:100 (40x lens).

Immunohistochemistry of paraffin-embedded Human gastric using ELAVL1 antibody at dilution of 1:100 (40x lens).

Immunohistochemistry of paraffin-embedded Human gastric cancer using ELAVL1 antibody at dilution of 1:100 (40x lens).

Immunohistochemistry of paraffin-embedded Human kidney using ELAVL1 antibody at dilution of 1:100 (40x lens).

Immunohistochemistry of paraffin-embedded Human kidney cancer using ELAVL1 antibody at dilution of 1:100 (40x lens).

Immunohistochemistry of paraffin-embedded human prostate using ELAVL1 antibody at dilution of 1:100 (40x lens).

Immunohistochemistry of paraffin-embedded human esophagus using ELAVL1 antibody at dilution of 1:100 (40x lens).

Immunohistochemistry of paraffin-embedded human stomach using ELAVL1 antibody at dilution of 1:100 (40x lens).

Immunohistochemistry of paraffin-embedded mouse brain using ELAVL1 antibody at dilution of 1:100 (40x lens).

Immunofluorescence analysis of MCF7 cell using ELAVL1 antibody. Blue: DAPI for nuclear staining.
The protein encoded by this gene is a member of the ELAVL family of RNA-binding proteins that contain several RNA recognition motifs, and selectively bind AU-rich elements (AREs) found in the 3' untranslated regions of mRNAs. AREs signal degradation of mRNAs as a means to regulate gene expression, thus by binding AREs, the ELAVL family of proteins play a role in stabilizing ARE-containing mRNAs. This gene has been implicated in a variety of biological processes and has been linked to a number of diseases, including cancer. It is highly expressed in many cancers, and could be potentially useful in cancer diagnosis, prognosis, and therapy. [provided by RefSeq, Sep 2012]
N/A