For quotations, please use our online quotation form, and you may also contact us by
sales@neoscientific.com
+1-888.733.6849
+1-617.299.7367 (Int’l)
+1-888.733.6849
+1-617.299.7367 (Int’l)
| Reactivity | Human Mouse Rat |
| Tested applications | WB IHC IF |
| Recommended Dilution | WB 1:500 - 1:2000 IHC 1:50 - 1:200 IF 1:50 - 1:200 |
| Calculated MW | 97kDa |
| Observed MW | Refer to Figures |
| Immunogen | Recombinant protein of human EPB41 |
| Storage Buffer | Store at -20℃. Avoid freeze / thaw cycles. Buffer: PBS with 0.02% sodium azide, 50% glycerol, pH7.3. |
| Synonym | HE; EL1; 4.1R |

Western blot analysis of extracts of various cell lines, using EPB41 antibody.

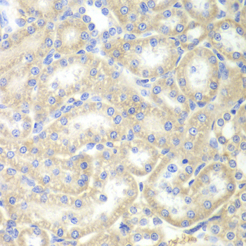
Immunohistochemistry of paraffin-embedded rat kidney using EPB41 antibody at dilution of 1:200 (400x lens).

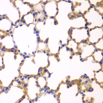
Immunohistochemistry of paraffin-embedded mouse lung using EPB41 antibody at dilution of 1:200 (400x lens).

Immunofluorescence analysis of U2OS cell using EPB41 antibody. Blue: DAPI for nuclear staining.
The protein encoded by this gene, together with spectrin and actin, constitute the red cell membrane cytoskeletal network. This complex plays a critical role in erythrocyte shape and deformability. Mutations in this gene are associated with type 1 elliptocytosis (EL1). Alternatively spliced transcript variants encoding different isoforms have been described for this gene.
N/A