For quotations, please use our online quotation form, and you may also contact us by
sales@neoscientific.com
+1-888.733.6849
+1-617.299.7367 (Int’l)
+1-888.733.6849
+1-617.299.7367 (Int’l)
| Reactivity | Human Mouse Rat | 
| Tested applications | WB IHC IF | 
| Recommended Dilution | WB 1:500 - 1:2000 IHC 1:50 - 1:200 IF 1:50 - 1:200 | 
| Calculated MW | 272kDa | 
| Observed MW | Refer to Figures | 
| Immunogen | Recombinant protein of human FASN | 
| Storage Buffer | Store at -20℃. Avoid freeze / thaw cycles. Buffer: PBS with 0.02% sodium azide, 50% glycerol, pH7.3. | 
| Concentration | fj | 
| Synonym | FASN;FAS;MGC14367;MGC15706;OA-519;SDR27X1 ; | 

Western blot analysis of extracts of various cell lines, using FASN antibody.

Immunohistochemistry of paraffin-embedded human liver cancer using FASN antibody at dilution of 1:100 (400x lens).

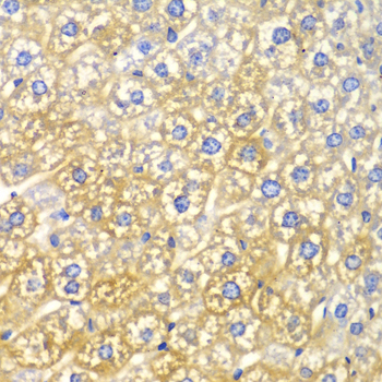
Immunohistochemistry of paraffin-embedded mouse liver using FASN antibody at dilution of 1:100 (400x lens).

Immunofluorescence analysis of A549 cell using FASN antibody. Blue: DAPI for nuclear staining.

Immunofluorescence analysis of A549 cell using FASN antibody. Blue: DAPI for nuclear staining.
Fatty acid synthase (FASN) catalyzes the synthesis of long-chain fatty acids from acetyl-CoA and malonyl-CoA. FASN is active as a homodimer with seven different catalytic activities and produces lipids in the liver for export to metabolically active tissues or storage in adipose tissue. In most other human tissues, FASN is minimally expressed since they rely on circulating fatty acids for new structural lipid synthesis (1).Recently, increased expression of FASN has emerged as a phenotype common to most human carcinomas. In breast cancer, immunohistochemical staining showed that the levels of FASN are directly related to the size of breast tumors (2). Studies also showed that FASN is highly expressed in lung and prostate cancers and that FASN expression is an indicator of poor prognosis in breast and prostate cancer (3-5). Furthermore, inhibition of FASN is selectively cytotoxic to human cancer cells (5). Thus, increased interest has focused on FASN as a potential target for the diagnosis and treatment of cancer as well as metabolic syndrome (6,7).
N/A