For quotations, please use our online quotation form, and you may also contact us by
sales@neoscientific.com
+1-888.733.6849
+1-617.299.7367 (Int’l)
+1-888.733.6849
+1-617.299.7367 (Int’l)
| Reactivity | Human Mouse Rat |
| Tested applications | WB IHC IF |
| Recommended Dilution | WB 1:500 - 1:2000 IHC 1:50 - 1:200 IF 1:50 - 1:100 |
| Calculated MW | 61kDa |
| Observed MW | Refer to figures |
| Immunogen | Recombinant protein of human FASTK |
| Storage Buffer | Store at -20℃. Avoid freeze / thaw cycles. Buffer: PBS with 0.02% sodium azide, 50% glycerol, pH7.3. |
| Synonym | FAST; |

Western blot analysis of extracts of various cells, using FASTK antibody.

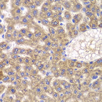
Immunohistochemistry of paraffin-embedded rat liver using FASTK antibody at dilution of 1:100 (40x lens).

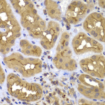
Immunohistochemistry of paraffin-embedded human kidney using FASTK antibody at dilution of 1:100 (40x lens).

Immunofluorescence analysis of U20S cell using FASTK antibody. Blue: DAPI for nuclear staining.
The protein encoded by this gene is a member of the serine/threonine protein kinase family. This kinase was shown to be activated rapidly during Fas-mediated apoptosis in Jurkat cells. In response to Fas receptor ligation, it phosphorylates TIA1, an apoptosis-promoting nuclear RNA-binding protein. The encoded protein is a strong inducer of lymphocyte apoptosis. Two transcript variants encoding different isoforms have been found for this gene. Other variants exist, but their full-length natures have not yet been determined.
N/A