FBP1-Polyclonal Antibodies

our services
our products
Quotations & Ordering:

For quotations, please use our online quotation form, and you may also contact us by

sales@neoscientific.com

Phone:

+1-888.733.6849
+1-617.299.7367 (Int’l)

Fax:

+1-888.733.6849
+1-617.299.7367 (Int’l)

Our customer service representatives are available 24 hours, Monday through Friday to assist you.

FBP1

Qty


Total
$220
Catalog #
A5406
Antibody Type
Polyclonal Antibody
Gene ID
2203
Swiss Prot
P09467
Size
Species
Rabbit
Isotype
IgG
Purity
Affinity purification
Additional Information
ReactivityHuman Mouse Rat
Tested applicationsWB IHC IF
Recommended DilutionWB 1:500 - 1:2000 IHC 1:50 - 1:200 IF 1:50 - 1:200
Calculated MW37kDa
Observed MWRefer to Figures
ImmunogenRecombinant protein of human FBP1
Storage BufferStore at -20℃. Avoid freeze / thaw cycles. Buffer: PBS with 0.02% sodium azide, 50% glycerol, pH7.3.
SynonymFBP;FBP1;FBPase 1; fructose 1;6 bisphosphatase 1;
Images
  • A5406: image 1

    Western blot analysis of extracts of various cell lines, using FBP1 antibody.

  • A5406: image 2

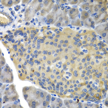
    Immunohistochemistry of paraffin-embedded mouse pancreas using FBP1 antibody at dilution of 1:200 (400x lens).

  • A5406: image 3

    Immunofluorescence analysis of MCF-7 cell using FBP1 antibody. Blue: DAPI for nuclear staining.

Background

Fructose-1,6-bisphosphatase 1, a gluconeogenesis regulatory enzyme, catalyzes the hydrolysis of fructose 1,6-bisphosphate to fructose 6-phosphate and inorganic phosphate. Fructose-1,6-diphosphatase deficiency is associated with hypoglycemia and metabolic acidosis.

Protocol

N/A

MSDS
Reviews
Neo Scientific welcomes feedback from its customers.

If you have used an our product and would like to share how it has performed, please click on the "Submit Review" button and provide the requested information.

If you have any additional inquiries please email technical services at info@neobiolab.com.

Thank you for your support.

promotions

Image

Custom Monoclonal Antibody
MassAb Technologies
Image
Free Trial Custom Polyclonal Antibody
You will receive free purified antibodies for validation
Image
Custom Peptides Synthesis

Start from $40/each

new technologies

Image
Optimized for enhanced
expression levels
XPromoter 2.0
Image
E.coli/insect cells/293 & CHO

3 in 1 expression system
Image
MassAb Technologies

Cover All Epitopes