FOXP2-Polyclonal Antibodies

our services
our products
Quotations & Ordering:

For quotations, please use our online quotation form, and you may also contact us by

sales@neoscientific.com

Phone:

+1-888.733.6849
+1-617.299.7367 (Int’l)

Fax:

+1-888.733.6849
+1-617.299.7367 (Int’l)

Our customer service representatives are available 24 hours, Monday through Friday to assist you.

FOXP2

Qty


Total
$220
Catalog #
A5677
Antibody Type
Polyclonal Antibody
Gene ID
93986
Swiss Prot
O15409
Size
Species
Rabbit
Isotype
IgG
Purity
Affinity purification
Additional Information
ReactivityHuman Mouse Rat
Tested applicationsWB IHC
Recommended DilutionWB 1:500 - 1:2000 IHC 1:50 - 1:200
Calculated MW79kDa
Observed MWRefer to Figures
ImmunogenRecombinant protein of human FOXP2
Storage BufferStore at -20℃. Avoid freeze / thaw cycles. Buffer: PBS with 0.02% sodium azide, 50% glycerol, pH7.3.
Concentrationk
SynonymSPCH1; CAGH44; TNRC10;
Images
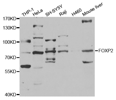
  • A5677: image 1

    Western blot analysis of extracts of various cell lines, using FOXP2 antibody.

Background

This gene encodes a member of the forkhead/winged-helix (FOX) family of transcription factors. It is expressed in fetal and adult brain as well as in several other organs such as the lung and gut. The protein product contains a FOX DNA-binding domain and a large polyglutamine tract and is an evolutionarily conserved transcription factor, which may bind directly to approximately 300 to 400 gene promoters in the human genome to regulate the expression of a variety of genes. This gene is required for proper development of speech and language regions of the brain during embryogenesis, and may be involved in a variety of biological pathways and cascades that may ultimately influence language development. Mutations in this gene cause speech-language disorder 1 (SPCH1), also known as autosomal dominant speech and language disorder with orofacial dyspraxia. Multiple alternative transcripts encoding different isoforms have been identified in this gene.

Protocol

N/A

MSDS
Reviews
Neo Scientific welcomes feedback from its customers.

If you have used an our product and would like to share how it has performed, please click on the "Submit Review" button and provide the requested information.

If you have any additional inquiries please email technical services at info@neobiolab.com.

Thank you for your support.

promotions

Image

Custom Monoclonal Antibody
MassAb Technologies
Image
Free Trial Custom Polyclonal Antibody
You will receive free purified antibodies for validation
Image
Custom Peptides Synthesis

Start from $40/each

new technologies

Image
Optimized for enhanced
expression levels
XPromoter 2.0
Image
E.coli/insect cells/293 & CHO

3 in 1 expression system
Image
MassAb Technologies

Cover All Epitopes