For quotations, please use our online quotation form, and you may also contact us by
sales@neoscientific.com
+1-888.733.6849
+1-617.299.7367 (Int’l)
+1-888.733.6849
+1-617.299.7367 (Int’l)
| Reactivity | Human Mouse Rat |
| Tested applications | WB IHC IF |
| Recommended Dilution | WB 1:500 - 1:2000 IHC 1:50 - 1:200 IF 1:50 - 1:200 |
| Calculated MW | 23kDa |
| Observed MW | Refer to Figures |
| Immunogen | Recombinant protein of human FXN |
| Storage Buffer | Store at -20℃. Avoid freeze / thaw cycles. Buffer: PBS with 0.02% sodium azide, 50% glycerol, pH7.3. |
| Synonym | CyaY; FA; FARR; FRDA; MGC57199; X25; |

Western blot analysis of extracts of various cell lines, using FXN antibody.

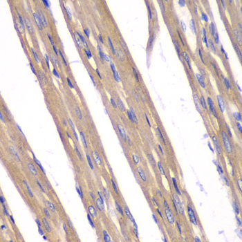
Immunohistochemistry of paraffin-embedded rat heart using FXN antibody at dilution of 1:100 (400x lens).

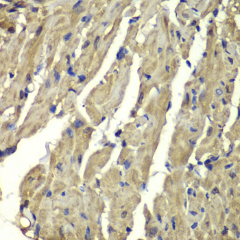
Immunohistochemistry of paraffin-embedded mouse heart using FXN antibody at dilution of 1:100 (400x lens).

Immunofluorescence analysis of MCF7 cell using FXN antibody. Blue: DAPI for nuclear staining.

Immunofluorescence analysis of A549 cell using FXN antibody. Blue: DAPI for nuclear staining.
FXN, also named as FRDA, X25, m81-FXN, d-FXN, m78-FXN and i-FXN, belongs to the frataxin family. It promotes the biosynthesis of heme and assembly and repair of iron-sulfur clusters by delivering Fe2+ to proteins involved in these pathways. FXN may play a role in the protection against iron-catalyzed oxidative stress through its ability to catalyze the oxidation of Fe2+ to Fe3+; the oligomeric form but not the monomeric form has in vitro ferroxidase activity. FXN is cleaved to be 4 chains. The mature form of FXN is 14kd or 18kd.
N/A