For quotations, please use our online quotation form, and you may also contact us by
sales@neoscientific.com
+1-888.733.6849
+1-617.299.7367 (Int’l)
+1-888.733.6849
+1-617.299.7367 (Int’l)
| Reactivity | Human Mouse Rat |
| Tested applications | WB IHC IF |
| Recommended Dilution | WB 1:500 - 1:2000 IHC 1:50 - 1:200 IF 1:50 - 1:200 |
| Calculated MW | 13kDa |
| Observed MW | Refer to Figures |
| Immunogen | Recombinant protein of human GABARAP |
| Storage Buffer | Store at -20℃. Avoid freeze / thaw cycles. Buffer: PBS with 0.02% sodium azide, 50% glycerol, pH7.3. |
| Concentration | ch |
| Synonym | MM46; ATG8A; GABARAP-a; |

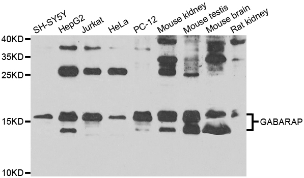
Western blot analysis of extracts of various cell lines, using GABARAP antibody.

Western blot analysis of extracts of various cell lines, using GABARAP antibody.

Immunohistochemistry of paraffin-embedded Human mammary cancer using GABARAP antibody at dilution of 1:100 (x400 lens).

Immunofluorescence analysis of MCF-7 cell using GABARAP antibody. Blue: DAPI for nuclear staining.
Gamma-aminobutyric acid A receptors
N/A