GARS-Polyclonal Antibodies

our services
our products
Quotations & Ordering:

For quotations, please use our online quotation form, and you may also contact us by

sales@neoscientific.com

Phone:

+1-888.733.6849
+1-617.299.7367 (Int’l)

Fax:

+1-888.733.6849
+1-617.299.7367 (Int’l)

Our customer service representatives are available 24 hours, Monday through Friday to assist you.

GARS

Qty


Total
$220
Catalog #
A5435
Antibody Type
Polyclonal Antibody
Gene ID
2617
Swiss Prot
P41250
Size
Species
Rabbit
Isotype
IgG
Purity
Affinity purification
Additional Information
ReactivityHuman Mouse Rat
Tested applicationsWB IHC IF
Recommended DilutionWB 1:1000 - 1:4000 IHC 1:50 - 1:200 IF 1:50 - 1:200
Calculated MW75kDa
Observed MWRefer to Figures
ImmunogenRecombinant protein of human GARS
Storage BufferStore at -20℃. Avoid freeze / thaw cycles. Buffer: PBS with 0.02% sodium azide, 50% glycerol, pH7.3.
Concentrationh
SynonymHMN5; CMT2D; DSMAV; GlyRS; SMAD1
Images
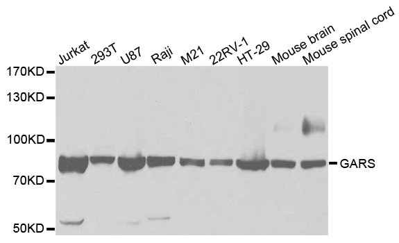
  • A5435: image 1

    Western blot analysis of extracts of various cells, using GARS antibody.

  • A5435: image 2

    Immunohistochemistry of paraffin-embedded rat heart using GARS antibody at dilution of 1:100 (x400 lens).

  • A5435: image 3

    Immunofluorescence analysis of MCF-7 cell using GARS antibody. Blue: DAPI for nuclear staining.

Background

This gene encodes glycyl-tRNA synthetase, one of the aminoacyl-tRNA synthetases that charge tRNAs with their cognate amino acids. The encoded enzyme is an (alpha)2 dimer which belongs to the class II family of tRNA synthetases. It has been shown to be a target of autoantibodies in the human autoimmune diseases, polymyositis or dermatomyositis.

Protocol

N/A

MSDS
Reviews
Neo Scientific welcomes feedback from its customers.

If you have used an our product and would like to share how it has performed, please click on the "Submit Review" button and provide the requested information.

If you have any additional inquiries please email technical services at info@neobiolab.com.

Thank you for your support.

promotions

Image

Custom Monoclonal Antibody
MassAb Technologies
Image
Free Trial Custom Polyclonal Antibody
You will receive free purified antibodies for validation
Image
Custom Peptides Synthesis

Start from $40/each

new technologies

Image
Optimized for enhanced
expression levels
XPromoter 2.0
Image
E.coli/insect cells/293 & CHO

3 in 1 expression system
Image
MassAb Technologies

Cover All Epitopes