GDF9-Polyclonal Antibodies

our services
our products
Quotations & Ordering:

For quotations, please use our online quotation form, and you may also contact us by

sales@neoscientific.com

Phone:

+1-888.733.6849
+1-617.299.7367 (Int’l)

Fax:

+1-888.733.6849
+1-617.299.7367 (Int’l)

Our customer service representatives are available 24 hours, Monday through Friday to assist you.

GDF9

Qty


Total
$220
Catalog #
A2739
Antibody Type
Polyclonal Antibody
Gene ID
2661
Swiss Prot
O60383
Size
Species
Rabbit
Isotype
IgG
Purity
Affinity purification
Additional Information
ReactivityHuman Mouse Rat
Tested applicationsWB IHC
Recommended DilutionWB 1:500 - 1:1000 IHC 1:50 - 1:100
Calculated MW51kDa
Observed MWRefer to Figures
ImmunogenRecombinant protein of human GDF9
Storage BufferStore at -20℃. Avoid freeze / thaw cycles. Buffer: PBS with 0.02% sodium azide, 50% glycerol, pH7.3.
SynonymGDF9
Images
  • A2739: image 1

    Western blot analysis of extracts of Sw626 cell line, using GDF9 antibody.

  • A2739: image 2

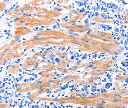
    Immunohistochemistry of paraffin-embedded human stomach cancer tissue using GDF9 antibody.

Background

Growth factors synthesized by ovarian somatic cells directly affect oocyte growth and function. Growth differentiation factor-9 (GDF9) is expressed in oocytes and is thought to be required for ovarian folliculogenesis. GDF9 is a member of the transforming growth factor-beta superfamily.

Protocol

N/A

MSDS
Reviews
Neo Scientific welcomes feedback from its customers.

If you have used an our product and would like to share how it has performed, please click on the "Submit Review" button and provide the requested information.

If you have any additional inquiries please email technical services at info@neobiolab.com.

Thank you for your support.

promotions

Image

Custom Monoclonal Antibody
MassAb Technologies
Image
Free Trial Custom Polyclonal Antibody
You will receive free purified antibodies for validation
Image
Custom Peptides Synthesis

Start from $40/each

new technologies

Image
Optimized for enhanced
expression levels
XPromoter 2.0
Image
E.coli/insect cells/293 & CHO

3 in 1 expression system
Image
MassAb Technologies

Cover All Epitopes