For quotations, please use our online quotation form, and you may also contact us by
sales@neoscientific.com
+1-888.733.6849
+1-617.299.7367 (Int’l)
+1-888.733.6849
+1-617.299.7367 (Int’l)
| Reactivity | Human Mouse Rat |
| Tested applications | WB IHC |
| Recommended Dilution | WB 1:500 - 1:2000 IHC 1:50 - 1:200 |
| Calculated MW | 23kDa |
| Observed MW | Refer to Figures |
| Immunogen | Recombinant protein of human GFER |
| Storage Buffer | Store at -20℃. Avoid freeze / thaw cycles. Buffer: PBS with 0.02% sodium azide, 50% glycerol, pH7.3. |
| Concentration | h |
| Synonym | ALR; HPO; HSS; ERV1; HPO1; HPO2; HERV1 |

Western blot analysis of extracts of various cell lines, using GFER antibody.

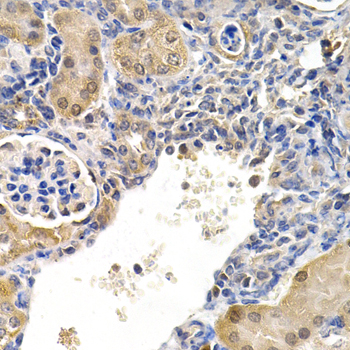
Immunohistochemistry of paraffin-embedded mouse kidney using GFER antibody at dilution of 1:200 (x40 lens).

Immunohistochemistry of paraffin-embedded mouse stomach using GFER antibody at dilution of 1:100 (x40 lens).

Immunohistochemistry of paraffin-embedded rat kidney using GFER antibody at dilution of 1:100 (x40 lens).

Immunohistochemistry of paraffin-embedded human prostate using GFER antibody at dilution of 1:100 (x40 lens).
The hepatotrophic factor designated augmenter of liver regeneration (ALR) is thought to be one of the factors responsible for the extraordinary regenerative capacity of mammalian liver. It has also been called hepatic regenerative stimulation substance (HSS). The gene resides on chromosome 16 in the interval containing the locus for polycystic kidney disease (PKD1). The putative gene product is 42% similar to the scERV1 protein of yeast. The yeast scERV1 gene had been found to be essential for oxidative phosphorylation, the maintenance of mitochondrial genomes, and the cell division cycle. The human gene is both the structural and functional homolog of the yeast scERV1 gene.
N/A