For quotations, please use our online quotation form, and you may also contact us by
sales@neoscientific.com
+1-888.733.6849
+1-617.299.7367 (Int’l)
+1-888.733.6849
+1-617.299.7367 (Int’l)
| Reactivity | Human Mouse Rat |
| Tested applications | WB IHC |
| Recommended Dilution | WB 1:500 - 1:2000 IHC 1:50 - 1:200 |
| Calculated MW | 12kDa |
| Observed MW | Refer to Figures |
| Immunogen | Recombinant protein of human GHRH |
| Storage Buffer | Store at -20℃. Avoid freeze / thaw cycles. Buffer: PBS with 0.02% sodium azide, 50% glycerol, pH7.3. |
| Synonym | GRF; INN; GHRF |

Western blot analysis of extracts of various cell lines, using GHRH antibody.

Immunohistochemistry of paraffin-embedded human liver cancer using GHRH antibody at dilution of 1:200 (x400 lens).

Immunohistochemistry of paraffin-embedded human stomach cancer using GHRH antibody at dilution of 1:200 (x400 lens).

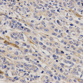
Immunohistochemistry of paraffin-embedded Human gastric using GHRH antibody at dilution of 1:100 (x400 lens).
The protein encoded by this gene belongs to the glucagon family and is a preproprotein that is produced in the hypothalamus. The preproprotein is cleaved to form a 44 aa factor, also called somatocrinin, that acts to stimulate growth hormone release from the pituitary. Variant receptors for somatocrinin have been found in several types of tumors, and antagonists of these receptors can inhibit the growth of the tumors. Defects in this gene are a cause of dwarfism, while hypersecretion of the encoded protein is a cause of gigantism.
N/A