For quotations, please use our online quotation form, and you may also contact us by
sales@neoscientific.com
+1-888.733.6849
+1-617.299.7367 (Int’l)
+1-888.733.6849
+1-617.299.7367 (Int’l)
| Reactivity | Human Mouse Rat |
| Tested applications | WB IHC IF |
| Recommended Dilution | WB 1:500 - 1:2000 IHC 1:50 - 1:200 IF 1:50 - 1:200 |
| Calculated MW | 51kDa |
| Observed MW | Refer to figures |
| Immunogen | Recombinant protein of human GOPC |
| Storage Buffer | Store at -20℃. Avoid freeze / thaw cycles. Buffer: PBS with 0.02% sodium azide, 50% glycerol, pH7.3. |
| Concentration | c |
| Synonym | CAL; FIG; PIST; GOPC1; dJ94G16.2; |

Western blot analysis of extracts of various cell lines, using GOPC antibody.

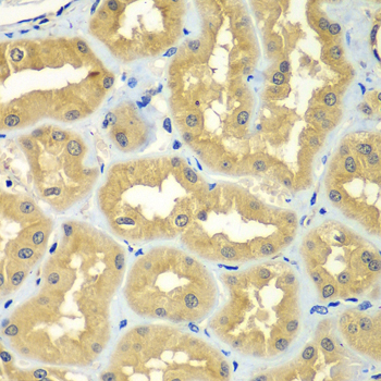
Immunohistochemistry of paraffin-embedded human kidney using GOPC antibody at dilution of 1:100 (x400 lens).

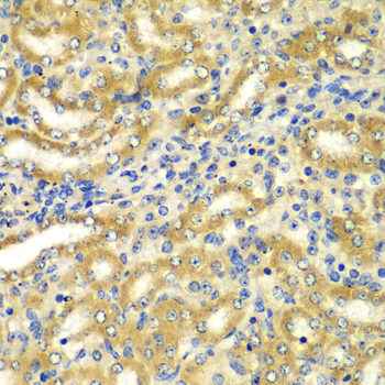
Immunohistochemistry of paraffin-embedded mouse kidney using GOPC antibody at dilution of 1:100 (x400 lens).

Immunofluorescence analysis of A549 cell using GOPC antibody. Blue: DAPI for nuclear staining.

Immunofluorescence analysis of A549 cell using GOPC antibody. Blue: DAPI for nuclear staining.
This gene encodes a Golgi protein with a PDZ domain. The PDZ domain is globular and proteins which contain them bind other proteins through short motifs near the C-termini. Mice which are deficient in the orthologous protein have globozoospermia and are infertile. Multiple transcript variants encoding different isoforms have been found for this gene.
N/A