For quotations, please use our online quotation form, and you may also contact us by
sales@neoscientific.com
+1-888.733.6849
+1-617.299.7367 (Int’l)
+1-888.733.6849
+1-617.299.7367 (Int’l)
| Reactivity | Human Mouse Rat |
| Tested applications | WB IHC IF |
| Recommended Dilution | WB 1:500 - 1:2000 IHC 1:50 - 1:200 IF 1:50 - 1:100 |
| Calculated MW | 56kDa |
| Observed MW | Refer to figures |
| Immunogen | Recombinant protein of human GPS1 |
| Storage Buffer | Store at -20℃. Avoid freeze / thaw cycles. Buffer: PBS with 0.02% sodium azide, 50% glycerol, pH7.3. |
| Synonym | CSN1; COPS1; |

Western blot analysis of extracts of various cell lines, using GPS1 antibody.

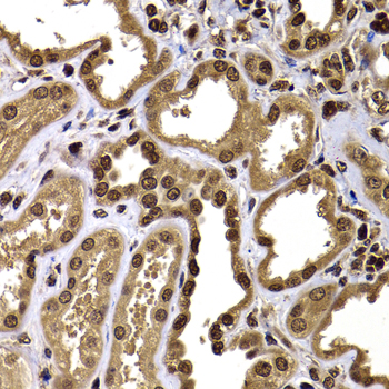
Immunohistochemistry of paraffin-embedded human kidney using GPS1 antibody at dilution of 1:100 (x400 lens).

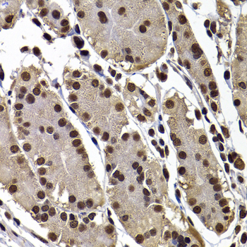
Immunohistochemistry of paraffin-embedded human stomach using GPS1 antibody at dilution of 1:100 (x400 lens).

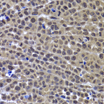
Immunohistochemistry of paraffin-embedded mouse cancer using GPS1 antibody at dilution of 1:100 (x400 lens).

Immunofluorescence analysis of U20S cell using GPS1 antibody. Blue: DAPI for nuclear staining.
This gene is known to suppress G-protein and mitogen-activated signal transduction in mammalian cells. The encoded protein shares significant similarity with Arabidopsis FUS6, which is a regulator of light-mediated signal transduction in plant cells. Two alternatively spliced transcript variants encoding different isoforms have been found for this gene.
N/A