GRK1-Polyclonal Antibodies

our services
our products
Quotations & Ordering:

For quotations, please use our online quotation form, and you may also contact us by

sales@neoscientific.com

Phone:

+1-888.733.6849
+1-617.299.7367 (Int’l)

Fax:

+1-888.733.6849
+1-617.299.7367 (Int’l)

Our customer service representatives are available 24 hours, Monday through Friday to assist you.

GRK1

Qty


Total
$220
Catalog #
A2966
Antibody Type
Polyclonal Antibody
Gene ID
6011
Swiss Prot
Q15835
Size
Species
Rabbit
Isotype
IgG
Purity
Affinity purification
Additional Information
ReactivityHuman Mouse Rat
Tested applicationsWB IHC
Recommended DilutionWB 1:500 - 1:2000 IHC 1:50 - 1:200
Calculated MW63.5kDa
Observed MWRefer to Figures
ImmunogenA synthetic peptide of human GRK1
Storage BufferStore at -20℃. Avoid freeze / thaw cycles. Buffer: PBS with 0.02% sodium azide, 50% glycerol, pH7.3.
SynonymRK; RHOK; GPRK1
Images
  • A2966: image 1

    Western blot analysis of extracts of various cells, using GRK1 antibody.

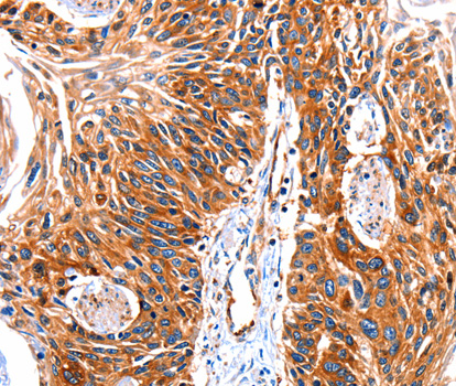
  • A2966: image 2

    Immunohistochemistry of paraffin-embedded human esophagus cancer tissue using GRK1 antibody.

Background

This gene encodes a member of the guanine nucleotide-binding protein (G protein)-coupled receptor kinase subfamily of the Ser/Thr protein kinase family. The protein phosphorylates rhodopsin and initiates its deactivation. Defects in GRK1 are known to cause Oguchi disease 2 (also known as stationary night blindness Oguchi type-2). Retina-specific kinase involved in the signal turnoff via phosphorylation of rhodopsin (RHO), the G protein- coupled receptor that initiates the phototransduction cascade. This rapid desensitization is essential for scotopic vision and permits rapid adaptation to changes in illumination.

Protocol

N/A

MSDS
Reviews
Neo Scientific welcomes feedback from its customers.

If you have used an our product and would like to share how it has performed, please click on the "Submit Review" button and provide the requested information.

If you have any additional inquiries please email technical services at info@neobiolab.com.

Thank you for your support.

promotions

Image

Custom Monoclonal Antibody
MassAb Technologies
Image
Free Trial Custom Polyclonal Antibody
You will receive free purified antibodies for validation
Image
Custom Peptides Synthesis

Start from $40/each

new technologies

Image
Optimized for enhanced
expression levels
XPromoter 2.0
Image
E.coli/insect cells/293 & CHO

3 in 1 expression system
Image
MassAb Technologies

Cover All Epitopes